• Tel: 858.663.9055
  • SeparatorEmail: info@nsjbio.com
  • Tel: 858.663.9055
  • Email: info@nsjbio.com
Home >> Antibodies >> PU.1 Antibody / SPI1

PU.1 Antibody / SPI1 (R33547)

  Catalog No Formulation Size Price (USD)  
Image R33547-100UG 0.5 mg/ml in 1X TBS, pH7.3, with 0.5% BSA (US sourced) and 0.02% sodium azide 100 ug 449
Bulk quote request
Western blot testing of Daudi lysate with PU.1 antibody at 0.03ug/ml. Predicted molecular weight ~31 kDa but routinely observed at ~40 kDa.
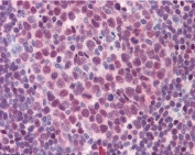
IHC testing of FFPE human spleen tissue with PU.1 antibody at 3.75ug/ml. Required HIER: steamed antigen retrieval with pH6 citrate buffer; AP-staining.
IHC testing of FFPE human colon (lymphoid aggregate) tissue with PU.1 antibody at 3.75ug/ml. Required HIER: steamed antigen retrieval with pH6 citrate buffer; AP-staining.
Availability 1-3 business days
Species Reactivity Human
Predicted Reactivity Rat
Format Antigen affinity purified
Clonality Polyclonal (goat origin)
Isotype Goat Ig
Purity Antigen affinity
Gene ID 6688
Localization Nuclear
Applications Western Blot : 0.03-0.1ug/ml
IHC (FFPE) : 3.75ug/ml
ELISA (peptide) LOD : 1:32000
Limitations This PU.1 antibody is available for research use only.
Review this product on BioCompare and get a $20 Amazon gift card

Related Products

Description

Additional name(s) for this target protein: Hematopoietic transcription factor PU.1; SPI1

Application Notes

Optimal dilution of the PU.1 antibody should be determined by the researcher.

Immunogen

Amino acids DLYQRQTHEYY were used as the immunogen for this PU.1 antibody.

Storage

Aliquot and store the PU.1 antibody at -20oC.

Cross
Bulk Quote Request Form
Name*:
Organization*:
Email*:
Phone Number*:
Catalog No.*:
Comments and Specifics(amount, formulation, etc.)*:
Validation code: Captchapackage Image


Can't read the image? click here to refresh.
    *required field

Your bulk quote request has been submitted successfully!

Please contact us if you have any questions.