• Tel: 858.663.9055
  • SeparatorEmail: info@nsjbio.com
  • Tel: 858.663.9055
  • Email: info@nsjbio.com
Home >> Antibodies >> PTPRU Antibody / Protein Tyrosine Phosphatase Receptor Type U

PTPRU Antibody / Protein Tyrosine Phosphatase Receptor Type U [clone PTPRU/7616] (V4686)

  Catalog No Formulation Size Price (USD)  
Image V4686-100UG 0.2 mg/ml in 1X PBS with 0.1 mg/ml BSA (US sourced), 0.05% sodium azide 100 ug 539
Image
V4686-20UG 0.2 mg/ml in 1X PBS with 0.1 mg/ml BSA (US sourced), 0.05% sodium azide 20 ug 249
Image
V4686SAF-100UG 1 mg/ml in 1X PBS; BSA free, sodium azide free 100 ug 539
Bulk quote request
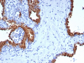
IHC staining of FFPE human prostate tissue with PTPRU antibody (clone PTPRU/7616). HIER: boil tissue sections in pH 9 10mM Tris with 1mM EDTA for 20 min and allow to cool before testing.
SDS-PAGE analysis of purified, BSA-free PTPRU antibody (clone PTPRU/7616) as confirmation of integrity and purity.
Availability 1-3 business days
Species Reactivity Human
Format Purified
Clonality Monoclonal (mouse origin)
Isotype Mouse IgG2, kappa
Clone Name PTPRU/7616
Purity Protein A/G affinity
UniProt Q92729
Localization Cell junction, Cell membrane
Applications Immunohistochemistry (FFPE) : 1-2ug/ml for 30 min at RT
Limitations This PTPRU antibody is available for research use only.
Review this product on BioCompare and get a $20 Amazon gift card

Description

Protein tyrosine phosphatases, or PTPs, are type I transmembrane proteins, membrane associated proteins or proteins localized in nuclei. Examples of transmembrane PTPs are LAR, PTPa, PTPb, PTPg, PTPd, PTPe, PTPz, PTPk, PTPm and PTPy. Transmembrane PTPs play diverse roles in a variety of cellular processes during development and in adult tissues. PTPy, also known as PTPRU, FMI, PCP-2, PTP-J, PTPRO, PTP-PI, PTPPSI or GLEPP1, is a receptor-type PTP containing a transmembrane region, two intracellular tandem catalytic domains, and an extracellular region with Ig-like and fibronectin type III-like repeats and a MAM (meprin-A5 antigen-PTPm) domain. PTPy localizes to adheren junctions and is capable of binding and dephosphorylating b-catenin thereby functioning as a negative regulator of b-catenin signaling. In addition, PTPy may function as a tumor suppressor, as its expression is silenced in a variety of tumors via methylation of its promoter.

Application Notes

Optimal dilution of the PTPRU antibody should be determined by the researcher.

Immunogen

A recombinant partial protein sequence (within amino acids 1-200) from the human protein was used as the immunogen for the PTPRU antibody.

Storage

Aliquot the PTPRU antibody and store frozen at -20oC or colder. Avoid repeated freeze-thaw cycles.

Cross
Bulk Quote Request Form
Name*:
Organization*:
Email*:
Phone Number*:
Catalog No.*:
Comments and Specifics(amount, formulation, etc.)*:
Validation code: Captchapackage Image


Can't read the image? click here to refresh.
    *required field

Your bulk quote request has been submitted successfully!

Please contact us if you have any questions.