• Tel: 858.663.9055
  • SeparatorEmail: info@nsjbio.com
  • Tel: 858.663.9055
  • Email: info@nsjbio.com
Home >> Antibodies >> PSMA5 Antibody / Proteasome subunit alpha type 5

PSMA5 Antibody / Proteasome subunit alpha type 5 [clone 426CT8.5.1] (F54524)

  Catalog No Formulation Size Price (USD)  
Image F54524-0.4ML In 1X PBS, pH 7.4, with 0.09% sodium azide 0.4 ml 429
Image
F54524-0.08ML In 1X PBS, pH 7.4, with 0.09% sodium azide 0.08 ml 199
Bulk quote request
Western blot testing of human 1) liver, 2) HeLa, 3) HepG2, 4) MCF7, 5) mouse Neuro-2a and 6) rat PC-12 cell lysate with PSMA5 antibody. Predicted molecular weight ~26 kDa.
Western blot testing of human K562 cell lysate with PSMA5 antibody. Predicted molecular weight ~26 kDa.
Immunofluorescent staining of human HeLa cells with PSMA5 antibody (green) and anti-Actin (red).
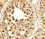
IHC testing of FFPE human testis tissue with PSMA5 antibody. HIER: steam section in pH6 citrate buffer for 20 min and allow to cool prior to staining.
Availability 1-3 business days
Species Reactivity Human, Mouse, Rat
Format Purified
Clonality Monoclonal (mouse origin)
Isotype IgG1
Clone Name 426CT8.5.1
Purity Protein G affinity
UniProt P28066
Localization Cytoplasmic, nuclear
Applications Western Blot : 1:500-1:2000
Immunofluorescence : 1:25
Immunohistochemistry (FFPE) : 1:25
Limitations This PSMA5 antibody is available for research use only.
Review this product on BioCompare and get a $20 Amazon gift card

Related Products

Description

The proteasome is a multicatalytic proteinase complex with a highly ordered ring-shaped 20S core structure. The core structure is composed of 4 rings of 28 non-identical subunits; 2 rings are composed of 7 alpha subunits and 2 rings are composed of 7 beta subunits. Proteasomes are distributed throughout eukaryotic cells at a high concentration and cleave peptides in an ATP/ubiquitin-dependent process in a non-lysosomal pathway. An essential function of a modified proteasome, the immunoproteasome, is the processing of class I MHC peptides. This gene encodes a member of the peptidase T1A family, that is a 20S core alpha subunit.

Application Notes

The stated application concentrations are suggested starting points. Titration of the PSMA5 antibody may be required due to differences in protocols and secondary/substrate sensitivity.

Immunogen

Recombinant human protein was used as the immunogen for the PSMA5 antibody.

Storage

Aliquot the PSMA5 antibody and store frozen at -20oC or colder. Avoid repeated freeze-thaw cycles.

Cross
Bulk Quote Request Form
Name*:
Organization*:
Email*:
Phone Number*:
Catalog No.*:
Comments and Specifics(amount, formulation, etc.)*:
Validation code: Captchapackage Image


Can't read the image? click here to refresh.
    *required field

Your bulk quote request has been submitted successfully!

Please contact us if you have any questions.