• Tel: 858.663.9055
  • SeparatorEmail: info@nsjbio.com
  • Tel: 858.663.9055
  • Email: info@nsjbio.com
Home >> Antibodies >> Protein phosphatase 1G Antibody / PPM1G

Protein phosphatase 1G Antibody / PPM1G (RQ8033)

  Catalog No Formulation Size Price (USD)  
Image RQ8033 0.5mg/ml if reconstituted with 0.2ml sterile DI water 100 ug 439
Bulk quote request
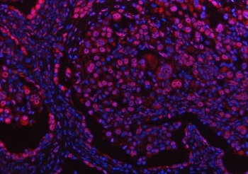
Immunofluorescent staining of FFPE human lung cancer tissue with Protein phosphatase 1G antibody (red) and DAPI nuclear stain (blue). HIER: steam section in pH8 EDTA buffer for 20 min.
Immunofluorescent staining of FFPE human intestinal cancer tissue with Protein phosphatase 1G antibody (red) and DAPI nuclear stain (blue). HIER: steam section in pH8 EDTA buffer for 20 min.
Immunofluorescent staining of FFPE human esophagus squama cancer tissue with Protein phosphatase 1G antibody (red) and DAPI nuclear stain (blue). HIER: steam section in pH8 EDTA buffer for 20 min.
Immunofluorescent staining of FFPE human A431 cells with Protein phosphatase 1G antibody (red) and Alpha Tubulin mAb (green). HIER: steam section in pH6 citrate buffer for 20 min.
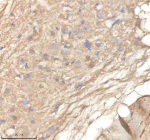
IHC staining of FFPE human lymphoma tissue with Protein phosphatase 1G antibody. HIER: boil tissue sections in pH8 EDTA for 20 min and allow to cool before testing.
IHC staining of FFPE human lymphoma tissue with Protein phosphatase 1G antibody. HIER: boil tissue sections in pH8 EDTA for 20 min and allow to cool before testing.
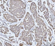
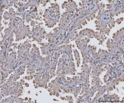
IHC staining of FFPE human lung cancer tissue with Protein phosphatase 1G antibody. HIER: boil tissue sections in pH8 EDTA for 20 min and allow to cool before testing.
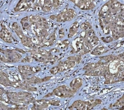
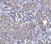
IHC staining of FFPE human breast cancer tissue with Protein phosphatase 1G antibody. HIER: boil tissue sections in pH8 EDTA for 20 min and allow to cool before testing.
IHC staining of FFPE human skin squamous carcinoma tissue with Protein phosphatase 1G antibody. HIER: boil tissue sections in pH8 EDTA for 20 min and allow to cool before testing.
Western blot testing of human 1) HeLa, 2) 293T, 3) A431 and 4) Jurkat cell lysate with Protein phosphatase 1G antibody. Predicted molecular weight ~59 kDa, commonly observed at 59-75 kDa.
Flow cytometry testing of fixed and permeabilized human MCF7 cells with Protein phosphatase 1G antibody at 1ug/million cells (blocked with goat sera); Red=cells alone, Green=isotype control, Blue= Protein phosphatase 1G antibody.
Western blot testing of 1) human HeLa, 2) human 293T, 3) human A431, 4) human Jurkat, 5) rat PC-12 and 6) mouse NIH 3T3 cell lysate with Protein phosphatase 1G antibody. Predicted molecular weight ~59 kDa, commonly observed at 59-75 kDa.
Immunoprecipitation of Protein phosphatase 1G protein from 500ug of human HeLa whole cell lysate with 2ug of Protein phosphatase 1G antibody.
Immunofluorescent staining of FFPE human pancreas squama cancer tissue with Protein phosphatase 1G antibody (red) and DAPI nuclear stain (blue). HIER: steam section in pH8 EDTA buffer for 20 min.
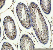
IHC staining of FFPE rat testis tissue with Protein phosphatase 1G antibody. HIER: boil tissue sections in pH8 EDTA for 20 min and allow to cool before testing.
Availability 1-3 business days
Species Reactivity Human, Mouse, Rat
Format Antigen affinity purified
Clonality Polyclonal (rabbit origin)
Isotype Rabbit IgG
Purity Antigen affinity purified
Buffer Lyophilized from 1X PBS with 2% Trehalose
UniProt O15355
Localization Nuclear, cytoplasmic
Applications Western Blot : 0.5-1ug/ml
Immunohistochemistry (FFPE) : 2-5ug/ml
Immunofluorescence : 5ug/ml
Flow Cytometry : 1-3ug/million cells
Direct ELISA : 0.1-0.5ug/ml
Immunoprecipitation : 5ug/ml
Limitations This Protein phosphatase 1G antibody is available for research use only.
Review this product on BioCompare and get a $20 Amazon gift card

Related Products

Description

Protein phosphatase 1G, also known as PPM1G, is a member of the PP2C family of serine/threonine phosphatases that play a key role in the regulation of cellular stress response pathways and cell cycle progression. It is particularly involved in the dephosphorylation of pre-mRNA splicing factors and other regulatory proteins, thereby influencing gene expression, RNA splicing, and cell signaling cascades.

PPM1G has multiple isoforms generated by alternative splicing. These isoforms exhibit distinct subcellular localization and may differ in their enzymatic activity or interaction with specific substrates, making them important targets for studies involving post-transcriptional regulation and signal transduction. Dysregulation of Protein phosphatase 1G has been implicated in various disease processes, including cancer and neurodegenerative conditions.

A high-quality Protein phosphatase 1G antibody is essential for researchers aiming to investigate the role of this phosphatase in cellular processes and disease models. The Protein phosphatase 1G antibody enables specific detection of endogenous protein isoforms in tissues and cultured cells. It can be applied in western blot, immunohistochemistry, and immunofluorescence assays. NSJ Bioreagents offers a Protein phosphatase 1G antibody validated for high specificity and consistent performance across multiple applications, helping researchers achieve reproducible and accurate results.

Application Notes

Optimal dilution of the Protein phosphatase 1G antibody should be determined by the researcher.

Immunogen

E. coli-derived recombinant human protein (amino acids E48-Q457) was used as the immunogen for the Protein phosphatase 1G antibody.

Storage

After reconstitution, the Protein phosphatase 1G antibody can be stored for up to one month at 4oC. For long-term, aliquot and store at -20oC. Avoid repeated freezing and thawing.

Cross
Bulk Quote Request Form
Name*:
Organization*:
Email*:
Phone Number*:
Catalog No.*:
Comments and Specifics(amount, formulation, etc.)*:
Validation code: Captchapackage Image


Can't read the image? click here to refresh.
    *required field

Your bulk quote request has been submitted successfully!

Please contact us if you have any questions.