• Tel: 858.663.9055
  • SeparatorEmail: info@nsjbio.com
  • Tel: 858.663.9055
  • Email: info@nsjbio.com
Home >> Antibodies >> Profilin 2 Antibody / PFN2

Profilin 2 Antibody / PFN2 (R31282)

  Catalog No Formulation Size Price (USD)  
Image R31282 0.5mg/ml if reconstituted with 0.2ml sterile DI water 100 ug 439
Bulk quote request
Western blot testing of Profilin 2 antibody and rat brain lysate. Expected/observed size ~15 kDa.
IHC-P: Profilin 2 antibody testing of human tonsil tissue
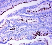
IHC-P: Profilin 2 antibody testing of human intestinal cancer tissue
Western blot testing of Profilin 2 antibody and 1) human placenta, 2) rat brain and 3) mouse brain lysate. Expected/observed size ~15 kDa.
Flow cytometry testing of human A431 cells with Profilin 2 antibody at 1ug/million cells (blocked with goat sera); Red=cells alone, Green=isotype control, Blue= Profilin 2 antibody.
Availability 1-3 business days
Species Reactivity Human, Mouse, Rat
Format Antigen affinity purified
Clonality Polyclonal (rabbit origin)
Isotype Rabbit IgG
Purity Antigen affinity
Buffer Lyophilized from 1X PBS with 2.5% BSA and 0.025% sodium azide/thimerosal
UniProt P35080
Localization Cytoplasmic
Applications Western Blot : 0.5-1ug/ml
IHC (FFPE) : 0.5-1ug/ml
Flow Cytometry : 1-3ug/million cells
Limitations This Profilin 2 antibody is available for research use only.
Review this product on BioCompare and get a $20 Amazon gift card

Related Products

Description

Profilin-2 is a protein that in humans is encoded by the PFN2 gene. The protein encoded by this gene is a ubiquitous actin monomer-binding protein belonging to the profilin family. This gene is mapped to 3q25.1. It is thought to regulate actin polymerization in response to extracellular signals. There are two alternatively spliced transcript variants encoding different isoforms described for this gene. Profilin-2 binds to actin and affects the structure of the cytoskeleton. At high concentrations, it prevents the polymerization of actin, whereas it enhances it at low concentrations. By binding to PIP2, it inhibits the formation of IP3 and DG.

Application Notes

The stated application concentrations are suggested starting amounts. Titration of the Profilin 2 antibody may be required due to differences in protocols and secondary/substrate sensitivity.

Immunogen

An amino acid sequence from the C-terminus of human PFN2 (NKKAYSMAKYLRDSGF) was used as the immunogen for this Profilin 2 antibody (100% homologous in human, mouse and rat).

Storage

After reconstitution, the Profilin 2 antibody can be stored for up to one month at 4oC. For long-term, aliquot and store at -20oC. Avoid repeated freezing and thawing.

Cross
Bulk Quote Request Form
Name*:
Organization*:
Email*:
Phone Number*:
Catalog No.*:
Comments and Specifics(amount, formulation, etc.)*:
Validation code: Captchapackage Image


Can't read the image? click here to refresh.
    *required field

Your bulk quote request has been submitted successfully!

Please contact us if you have any questions.