• Tel: 858.663.9055
  • SeparatorEmail: info@nsjbio.com
  • Tel: 858.663.9055
  • Email: info@nsjbio.com
Home >> Antibodies >> PRDM1 Antibody / BLIMP1

PRDM1 Antibody / BLIMP1 (R33488)

  Catalog No Formulation Size Price (USD)  
Image R33488-100UG 0.5 mg/ml in 1X TBS, pH7.3, with 0.5% BSA (US sourced) and 0.02% sodium azide 100 ug 449
Bulk quote request
Western blot testing of A431 lysate with PRDM1 antibody at 0.3ug/ml. Predicted molecular weight: ~92/77kDa (isoforms 1/2).
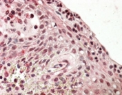
IHC staining of FFPE human tonsil with PRDM1 antibody at 4ug/ml. HIER: steamed with pH6 citrate buffer, AP-staining.
Availability 1-3 business days
Species Reactivity Human
Predicted Reactivity Mouse, Rat, Dog, Pig, Cow
Format Antigen affinity purified
Clonality Polyclonal (goat origin)
Isotype Goat Ig
Purity Antigen affinity
Gene ID 639
Applications Western Blot : 0.5-1.5ug/ml
Immunohistochemistry (FFPE) : suitable
ELISA (peptide) LOD : 1:1000
Limitations This PRDM1 antibody is available for research use only.
Review this product on BioCompare and get a $20 Amazon gift card

Related Products

Description

Additional name(s) for this target protein: PR domain containing 1; B Lymphocyte Induced Maturation Protein 1

Application Notes

Optimal dilution of the PRDM1 antibody should be determined by the researcher.

Immunogen

Amino acids DISDNADRLEDVED were used as the immunogen for this PRDM1 antibody.

Storage

Aliquot and store the PRDM1 antibody at -20oC.

Cross
Bulk Quote Request Form
Name*:
Organization*:
Email*:
Phone Number*:
Catalog No.*:
Comments and Specifics(amount, formulation, etc.)*:
Validation code: Captchapackage Image


Can't read the image? click here to refresh.
    *required field

Your bulk quote request has been submitted successfully!

Please contact us if you have any questions.