• Tel: 858.663.9055
  • SeparatorEmail: info@nsjbio.com
  • Tel: 858.663.9055
  • Email: info@nsjbio.com
Home >> Antibodies >> Phospholipase A2 receptor 1 Antibody / PLA2R1

Phospholipase A2 receptor 1 Antibody / PLA2R1 [clone PLA2R1/4894] (V5698)

  Catalog No Formulation Size Price (USD)  
Image V5698-100UG 0.2 mg/ml in 1X PBS with 0.1 mg/ml BSA (US sourced), 0.05% sodium azide 100 ug 539
Image
V5698-20UG 0.2 mg/ml in 1X PBS with 0.1 mg/ml BSA (US sourced), 0.05% sodium azide 20 ug 249
Image
V5698SAF-100UG 1 mg/ml in 1X PBS; BSA free, sodium azide free 100 ug 539
Bulk quote request
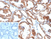
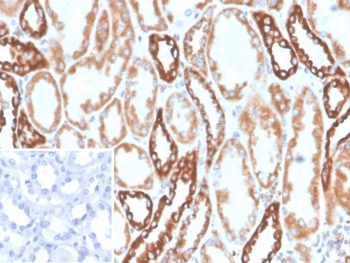
IHC staining of FFPE human kidney tissue with Phospholipase A2 receptor 1 antibody (clone PLA2R1/4894). Inset: PBS used in place of primary Ab (secondary Ab negative control). HIER: boil tissue sections in pH 9 10mM Tris with 1mM EDTA for 20 min and allow to cool before testing.
SDS-PAGE analysis of purified, BSA-free Phospholipase A2 receptor 1 antibody (clone PLA2R1/4894) as confirmation of integrity and purity.
Availability 1-3 business days
Species Reactivity Human
Format Purified
Clonality Monoclonal (mouse origin)
Isotype Mouse IgG1, kappa
Clone Name PLA2R1/4894
Purity Protein G affinity
UniProt Q13018
Localization Cell membrane, Secreted
Applications Immunohistochemistry (FFPE) : 1-2ug/ml
Limitations This Phospholipase A2 receptor 1 antibody is available for research use only.
Review this product on BioCompare and get a $20 Amazon gift card

Related Products

Description

This gene represents a phospholipase A2 receptor. The encoded protein likely exists as both a transmembrane form and a soluble form. The transmembrane receptor may play a role in clearance of phospholipase A2, thereby inhibiting its action. Polymorphisms at this locus have been associated with susceptibility to idiopathic membranous nephropathy. Alternatively spliced transcript variants encoding different isoforms have been identified.

Application Notes

Optimal dilution of the Phospholipase A2 receptor 1 antibody should be determined by the researcher.

Immunogen

A portion of amino acids 300-600 from human PLA2R1 protein was used as the immunogen for the Phospholipase A2 receptor 1 antibody.

Storage

Aliquot the Phospholipase A2 receptor 1 antibody and store frozen at -20oC or colder. Avoid repeated freeze-thaw cycles.

Cross
Bulk Quote Request Form
Name*:
Organization*:
Email*:
Phone Number*:
Catalog No.*:
Comments and Specifics(amount, formulation, etc.)*:
Validation code: Captchapackage Image


Can't read the image? click here to refresh.
    *required field

Your bulk quote request has been submitted successfully!

Please contact us if you have any questions.