• Tel: 858.663.9055
  • SeparatorEmail: info@nsjbio.com
  • Tel: 858.663.9055
  • Email: info@nsjbio.com
Home >> Antibodies >> Phospho-Aurora A/B/C Antibody (pThr288/pThr232/pThr198)

Phospho-Aurora A/B/C Antibody (pThr288/pThr232/pThr198) [clone RM454] (R20468)

  Catalog No Formulation Size Price (USD)  
Image R20468-0.1ML Antibody in PBS with 50% glycerol, 1% BSA and 0.09% sodium azide 100 ul 429
Microvalidated Recrabbitmono
Bulk quote request
Western blot testing of lysate of human HeLa cells, non-treated (-) or treated (+) with Nocodazole and Calyculin A, using recombinant phospho-Aurora A/B/C antibody at a 1:2500 dilution.
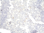
IHC staining of FFPE human tonsil tissue with recombinant phospho-Aurora A/B/C antibody at 1:50.
Availability 1-3 business days
Species Reactivity Human
Format Purified
Clonality Recombinant Rabbit Monoclonal
Isotype Rabbit IgG
Clone Name RM454
Purity Protein A purified from animal origin-free supernatant
UniProt Q9UQB9 , Q96GD4 , O14965
Applications Western Blot : 1:1000-1:3000
Immunohistochemistry (FFPE) : 1:25-1:50
Limitations This recombinant phospho-Aurora A/B/C antibody is available for research use only.
Review this product on BioCompare and get a $20 Amazon gift card

Related Products

Description

This antibody reacts to human Aurora A/B/C only when phosphorylated at either Thr288, Thr232 or Thr198 respectively. There is no cross-reactivity to Aurora A/B/C that is not phosphorylated at these positions.

Application Notes

The stated application concentrations are suggested starting points. Titration of the recombinant phospho-Aurora A/B/C antibody may be required due to differences in protocols and secondary/substrate sensitivity.

Immunogen

A phospho-peptide corresponding to Phospho-Aurora A (Thr288)/Aurora B (Thr232)/Aurora C (Thr198) was used as the immunogen for the phospho-Aurora A/B/C antibody.

Storage

Store the recombinant phospho-Aurora A/B/C antibody at -20oC.

Cross
Bulk Quote Request Form
Name*:
Organization*:
Email*:
Phone Number*:
Catalog No.*:
Comments and Specifics(amount, formulation, etc.)*:
Validation code: Captchapackage Image


Can't read the image? click here to refresh.
    *required field

Your bulk quote request has been submitted successfully!

Please contact us if you have any questions.