• Tel: 858.663.9055
  • SeparatorEmail: info@nsjbio.com
  • Tel: 858.663.9055
  • Email: info@nsjbio.com
Home >> Antibodies >> PHLDA2 Antibody / Pleckstrin homology-like domain, family A, member 2

PHLDA2 Antibody / Pleckstrin homology-like domain, family A, member 2 (R33928)

  Catalog No Formulation Size Price (USD)  
Image R33928-100UG 0.5 mg/ml in 1X TBS, pH7.3, with 0.5% BSA (US sourced) and 0.02% sodium azide 100 ug 449
Bulk quote request
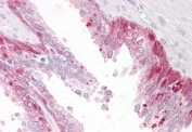
IHC testing of FFPE human placental tissue with PHLDA2 antibody at 4ug/ml. HIER: steamed with pH6 citrate buffer, AP-staining.
IHC testing of FFPE human prostate tissue with PHLDA2 antibody at 4ug/ml. HIER: steamed with pH6 citrate buffer, AP-staining.
IF/ICC staining of fixed and permeabilized human HeLa cells with PHLDA2 antibody (green) at 10ug/ml and DAPI nuclear stain (blue).
Western blot testing of human MDA-MB-231 cell lysate with PHLDA2 antibody. Predicted molecular weight ~17 kDa.
FACS testing of fixed and permeabilized human MCF7 cells with PHLDA2 antibody (blue) at 10ug/ml and naive goat Ig (black).
Availability 1-3 business days
Species Reactivity Human
Format Antigen affinity purified
Clonality Polyclonal (goat origin)
Isotype Goat Ig
Purity Antigen affinity
Gene ID 7262
Applications Immunohistochemistry (FFPE) : 3-6ug/ml
Western Blot : 2-3ug/ml
Immunofluorescence : 10ug/ml
Flow Cytometry : 10ug/ml
ELISA (peptide) LOD : 1:32000
Limitations This PHLDA2 antibody is available for research use only.
Review this product on BioCompare and get a $20 Amazon gift card

Description

Additional name(s) for this target protein: Pleckstrin homology-like domain family A member 2; TSSC3; IPL; BRW1C; BWR1C; HLDA2

Application Notes

Optimal dilution of the PHLDA2 antibody should be determined by the researcher.

Immunogen

Amino acids EPSRPSPQPKPRTP were used as the immunogen for this PHLDA2 antibody.

Storage

Aliquot and store the PHLDA2 antibody at -20oC.

Cross
Bulk Quote Request Form
Name*:
Organization*:
Email*:
Phone Number*:
Catalog No.*:
Comments and Specifics(amount, formulation, etc.)*:
Validation code: Captchapackage Image


Can't read the image? click here to refresh.
    *required field

Your bulk quote request has been submitted successfully!

Please contact us if you have any questions.