• Tel: 858.663.9055
  • SeparatorEmail: info@nsjbio.com
  • Tel: 858.663.9055
  • Email: info@nsjbio.com
Home >> Antibodies >> PDGFR beta Antibody (CD140b)

PDGFR beta Antibody (CD140b) (F50659)

  Catalog No Formulation Size Price (USD)  
Image F50659-0.4ML In 1X PBS, pH 7.4, with 0.09% sodium azide 0.4 ml 429
Image
F50659-0.08ML In 1X PBS, pH 7.4, with 0.09% sodium azide 0.08 ml 199
Bulk quote request
Flow cytometric analysis of SK-Br-3 cells using PDGFR beta antibody (bottom histogram) compared to a negative control (top histogram). FITC-conjugated goat-anti-rabbit secondary Ab was used for the analysis.
Confocal immunofluorescent analysis of PDGFR beta antibody with WiDr cells followed by Alexa Fluor 488-conjugated goat anti-rabbit lgG (green). DAPI was used as a nuclear counterstain (blue).
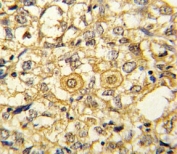
IHC analysis of FFPE human breast carcinoma stained with PDGFR beta antibody
Western blot analysis of anti-PDGFR beta antibody
Availability Backordered; estimated date of availability: December 2020
Species Reactivity Human
Format Purified
Clonality Polyclonal (rabbit origin)
Isotype Rabbit Ig
Purity Purified
UniProt P09619
Applications IHC (Paraffin) : 1:10-1:50
Immunofluorescence : 1:10-1:50
Flow Cytometry : 1:10-1:50
Western Blot : 1:1000
Limitations This PDGFR beta antibody is available for research use only.
Review this product on BioCompare and get a $20 Amazon gift card

Related Products

Description

PDGFRB is a cell surface tyrosine kinase receptor for members of the platelet-derived growth factor family. These growth factors are mitogens for cells of mesenchymal origin. The identity of the growth factor bound to a receptor monomer determines whether the functional receptor is a homodimer or a heterodimer, composed of both platelet-derived growth factor receptor alpha and beta polypeptides. The gene is flanked on chromosome 5 by the genes for granulocyte-macrophage colony-stimulating factor and macrophage-colony stimulating factor receptor; all three genes may be implicated in the 5-q syndrome. A translocation between chromosomes 5 and 12, that fuses the gene to that of the translocation, ETS, leukemia gene, results in chronic myelomonocytic leukemia.

Application Notes

The stated application concentrations are suggested starting amounts. Titration of the PDGFR beta antibody may be required due to differences in protocols and secondary/substrate sensitivity.

Immunogen

A portion of amino acids 40-72 from the human protein was used as the immunogen for this CD140b / PDGFR beta antibody.

Storage

Store at 4oC for up to one month. For long term, aliquot the PDGFR beta antibody and store frozen at -20oC or colder. Avoid repeated freeze-thaw cycles.

Cross
Bulk Quote Request Form
Name*:
Organization*:
Email*:
Phone Number*:
Catalog No.*:
Comments and Specifics(amount, formulation, etc.)*:
Validation code: Captchapackage Image


Can't read the image? click here to refresh.
    *required field

Your bulk quote request has been submitted successfully!

Please contact us if you have any questions.