• Tel: 858.663.9055
  • SeparatorEmail: info@nsjbio.com
  • Tel: 858.663.9055
  • Email: info@nsjbio.com
Home >> Antibodies >> NSD3 Antibody / Nuclear SET domain-containing protein 3

NSD3 Antibody / Nuclear SET domain-containing protein 3 (RQ6722)

  Catalog No Formulation Size Price (USD)  
Image RQ6722 0.5mg/ml if reconstituted with 0.2ml sterile DI water 100 ug 439
Bulk quote request
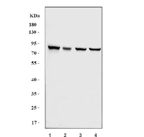
Western blot testing of 1) human A549, 2) monkey COS-7, 3) human HeLa and 4) human MCF7 cell lysate with NSD3 antibody. Predicted molecular weight: 155-162 kDa (long forms) and ~ 73 kDa (short form).
Availability 1-3 business days
Species Reactivity Human, Monkey
Format Antigen affinity purified
Clonality Polyclonal (rabbit origin)
Isotype Rabbit IgG
Purity Antigen affinity purified
Buffer Lyophilized from 1X PBS with 2% Trehalose
UniProt Q9BZ95
Applications Western Blot : 1-2ug/ml
Direct ELISA : 0.1-0.5ug/ml
Limitations This NSD3 antibody is available for research use only.
Review this product on BioCompare and get a $20 Amazon gift card

Description

Histone-lysine N-methyltransferase NSD3 is an enzyme that in humans is encoded by the WHSC1L1 gene. This gene is related to the Wolf-Hirschhorn syndrome candidate-1 gene and encodes a protein with PWWP (proline-tryptophan-tryptophan-proline) domains. This protein methylates histone H3 at lysine residues 4 and 27, which represses gene transcription. Two alternatively spliced variants have been described.

Application Notes

Optimal dilution of the NSD3 antibody should be determined by the researcher.

Immunogen

Recombinant human protein (amino acids Q46-K1425) was used as the immunogen for the NSD3 antibody.

Storage

After reconstitution, the NSD3 antibody can be stored for up to one month at 4oC. For long-term, aliquot and store at -20oC. Avoid repeated freezing and thawing.

Cross
Bulk Quote Request Form
Name*:
Organization*:
Email*:
Phone Number*:
Catalog No.*:
Comments and Specifics(amount, formulation, etc.)*:
Validation code: Captchapackage Image


Can't read the image? click here to refresh.
    *required field

Your bulk quote request has been submitted successfully!

Please contact us if you have any questions.