• Tel: 858.663.9055
  • SeparatorEmail: info@nsjbio.com
  • Tel: 858.663.9055
  • Email: info@nsjbio.com
Home >> Antibodies >> NR1H2 Antibody

NR1H2 Antibody (R36072)

  Catalog No Formulation Size Price (USD)  
Image R36072-100UG 0.5 mg/ml in 1X TBS, pH7.3, with 0.5% BSA (US sourced) and 0.02% sodium azide 100 ug 449
Bulk quote request
Western blot testing of human bone marrow lysate with NR1H2 antibody at 1ug/ml. Predicted molecular weight: ~51 kDa. The ~60/80 kDa observed band size is likely due to acetylation.
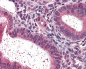
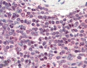
IHC staining of FFPE human spleen with NR1H2 antibody at 3ug/ml. HIER: steamed with pH6 citrate buffer, AP-staining.
IHC staining of FFPE human uterus with NR1H2 antibody at 3ug/ml. HIER: steamed with pH6 citrate buffer, AP-staining.
Availability 1-3 business days
Species Reactivity Human
Predicted Reactivity Mouse, Rat, Dog
Format Antigen affinity purified
Clonality Polyclonal (goat origin)
Isotype Goat Ig
Purity Antigen affinity
Gene ID 7376
Applications Western Blot : 1-3ug/ml
Immunohistochemistry (FFPE) : 3ug/ml
ELISA (peptide) LOD : 1:64000
Limitations This NR1H2 antibody is available for research use only.
Review this product on BioCompare and get a $20 Amazon gift card

Related Products

Description

Additional name(s) for this target protein: Nuclear receptor subfamily 1, group H, member 2; LXRb; LXR beta

Application Notes

Optimal dilution of the NR1H2 antibody should be determined by the researcher.

Immunogen

Amino acids SSPTTSSLDTPLPGC were used as the immunogen for this NR1H2 antibody. This sequence is specific to NR1H2/LXR beta and will not cross react with LXR alpha.

Storage

Aliquot and store the NR1H2 antibody at -20oC.

Cross
Bulk Quote Request Form
Name*:
Organization*:
Email*:
Phone Number*:
Catalog No.*:
Comments and Specifics(amount, formulation, etc.)*:
Validation code: Captchapackage Image


Can't read the image? click here to refresh.
    *required field

Your bulk quote request has been submitted successfully!

Please contact us if you have any questions.