• Tel: 858.663.9055
  • SeparatorEmail: info@nsjbio.com
  • Tel: 858.663.9055
  • Email: info@nsjbio.com
Home >> Antibodies >> Myosin Heavy Chain 3 Antibody / MYH3 / Myosin 3

Myosin Heavy Chain 3 Antibody / MYH3 / Myosin 3 (RQ6720)

  Catalog No Formulation Size Price (USD)  
Image RQ6720 0.5mg/ml if reconstituted with 0.2ml sterile DI water 100 ug 439
Bulk quote request
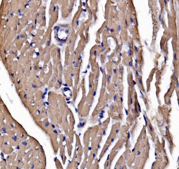
IHC staining of FFPE mouse heart tissue with Myosin Heavy Chain 3 antibody. HIER: boil tissue sections in pH8 EDTA for 20 min and allow to cool before testing.
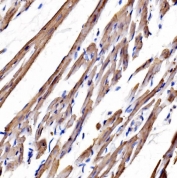
IHC staining of FFPE rat heart tissue with Myosin Heavy Chain 3 antibody. HIER: boil tissue sections in pH8 EDTA for 20 min and allow to cool before testing.
Western blot testing of rat heart tissue with Myosin Heavy Chain 3 antibody. Predicted molecular weight ~224 kDa.
Flow cytometry testing of human U-2 OS cells with Myosin Heavy Chain 3 antibody at 1ug/million cells (blocked with goat sera); Red=cells alone, Green=isotype control, Blue= Myosin Heavy Chain 3 antibody.
Availability 1-3 business days
Species Reactivity Human, Mouse, Rat
Format Antigen affinity purified
Clonality Polyclonal (rabbit origin)
Isotype Rabbit IgG
Purity Antigen affinity purified
Buffer Lyophilized from 1X PBS with 2% Trehalose
UniProt P12847
Localization Cytoplasmic
Applications Western Blot : 1-2ug/ml
Immunohistochemistry (FFPE) : 2-5ug/ml
Flow Cytometry : 1-3ug/million cells
Direct ELISA : 0.1-0.5ug/ml
Limitations This Myosin Heavy Chain 3 antibody is available for research use only.
Review this product on BioCompare and get a $20 Amazon gift card

Related Products

Description

Myosin-3 is a protein that in humans is encoded by the MYH3 gene. Myosin is a major contractile protein which converts chemical energy into mechanical energy through the hydrolysis of ATP. Myosin is a hexameric protein composed of a pair of myosin heavy chains (MYH) and two pairs of nonidentical light chains. This gene is a member of the MYH family and encodes a protein with an IQ domain and a myosin head-like domain. Mutations in this gene have been associated with two congenital contracture (arthrogryposis) syndromes, Freeman-Sheldon syndrome and Sheldon-Hall syndrome.

Application Notes

Optimal dilution of the Myosin Heavy Chain 3 antibody should be determined by the researcher.

Immunogen

Recombinant rat protein (amino acids K44-S119) was used as the immunogen for the Myosin Heavy Chain 3 antibody.

Storage

After reconstitution, the Myosin Heavy Chain 3 antibody can be stored for up to one month at 4oC. For long-term, aliquot and store at -20oC. Avoid repeated freezing and thawing.

Cross
Bulk Quote Request Form
Name*:
Organization*:
Email*:
Phone Number*:
Catalog No.*:
Comments and Specifics(amount, formulation, etc.)*:
Validation code: Captchapackage Image


Can't read the image? click here to refresh.
    *required field

Your bulk quote request has been submitted successfully!

Please contact us if you have any questions.