• Tel: 858.663.9055
  • SeparatorEmail: info@nsjbio.com
  • Tel: 858.663.9055
  • Email: info@nsjbio.com
Home >> Antibodies >> Myosin 6 Antibody / MyHC-alpha / MYH6

Myosin 6 Antibody / MyHC-alpha / MYH6 (RQ6780)

  Catalog No Formulation Size Price (USD)  
Image RQ6780 0.5mg/ml if reconstituted with 0.2ml sterile DI water 100 ug 439
Bulk quote request
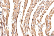
IHC staining of FFPE human heart tissue with Myosin 6 antibody. HIER: boil tissue sections in pH8 EDTA for 20 min and allow to cool before testing.
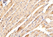
IHC staining of FFPE mouse heart tissue with Myosin 6 antibody. HIER: boil tissue sections in pH8 EDTA for 20 min and allow to cool before testing.
IHC staining of FFPE rat heart tissue with Myosin 6 antibody. HIER: boil tissue sections in pH8 EDTA for 20 min and allow to cool before testing.
Western blot testing of mouse heart tissue with Myosin 6 antibody. Predicted molecular weight ~224 kDa, routinely observed at 200-250 kDa.
Flow cytometry testing of human U937 cells with Myosin 6 antibody at 1ug/million cells (blocked with goat sera); Red=cells alone, Green=isotype control, Blue= Myosin 6 antibody.
Availability 1-3 business days
Species Reactivity Human, Mouse, Rat
Format Antigen affinity purified
Clonality Polyclonal (rabbit origin)
Isotype Rabbit IgG
Purity Antigen affinity purified
Buffer Lyophilized from 1X PBS with 2% Trehalose
UniProt P13533
Localization Cytoplasmic
Applications Western Blot : 1-2ug/ml
Immunohistochemistry (FFPE) : 2-5ug/ml
Flow Cytometry : 1-3ug/million cells
Limitations This Myosin 6 antibody is available for research use only.
Review this product on BioCompare and get a $20 Amazon gift card

Related Products

Description

Myosin heavy chain, alpha isoform (MHC-alpha) is a protein that in humans is encoded by the MYH6 gene. Cardiac muscle myosin is a hexamer consisting of two heavy chain subunits, two light chain subunits, and two regulatory subunits. This gene encodes the alpha heavy chain subunit of cardiac myosin. The gene is located approximately 4kb downstream of the gene encoding the beta heavy chain subunit of cardiac myosin. Mutations in this gene cause familial hypertrophic cardiomyopathy and atrial septal defect 3.

Application Notes

Optimal dilution of the Myosin 6 antibody should be determined by the researcher.

Immunogen

Amino acids RTLEDQANEYRVKLEEAQRSLNDFTTQRAKLQ from the human protein were used as the immunogen for the Myosin 6 antibody.

Storage

After reconstitution, the Myosin 6 antibody can be stored for up to one month at 4oC. For long-term, aliquot and store at -20oC. Avoid repeated freezing and thawing.

Cross
Bulk Quote Request Form
Name*:
Organization*:
Email*:
Phone Number*:
Catalog No.*:
Comments and Specifics(amount, formulation, etc.)*:
Validation code: Captchapackage Image


Can't read the image? click here to refresh.
    *required field

Your bulk quote request has been submitted successfully!

Please contact us if you have any questions.