• Tel: 858.663.9055
  • SeparatorEmail: info@nsjbio.com
  • Tel: 858.663.9055
  • Email: info@nsjbio.com
Home >> Antibodies >> MSH3 Antibody

MSH3 Antibody [clone RM405] (R20421)

  Catalog No Formulation Size Price (USD)  
Image R20421-0.1ML Antibody in PBS with 50% glycerol, 1% BSA and 0.09% sodium azide 100 ul 429
Microvalidated Recrabbitmono
Bulk quote request
Western blot testing of human HEK293 cell lysate with recombinant MSH3 antibody at 1:800 dilution. Predicted molecular weight ~127 kDa.
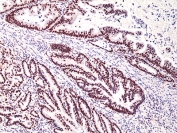
IHC staining of FFPE human colon cancer tissue with recombinant MSH3 antibody at 1:200.
Availability 1-3 business days
Species Reactivity Human
Format Purified
Clonality Recombinant Rabbit Monoclonal
Isotype Rabbit IgG
Clone Name RM405
Purity Protein A purified from animal origin-free supernatant
UniProt P20585
Localization Nuclear
Applications Immunohistochemistry (FFPE) : 1:100-1:200
Western Blot : 1:400-1:800
Limitations This recombinant MSH3 antibody is available for research use only.
Review this product on BioCompare and get a $20 Amazon gift card

Description

This antibody reacts to human to MSH3 / DNA mismatch repair protein Msh3.

Application Notes

The stated application concentrations are suggested starting points. Titration of the recombinant MSH3 antibody may be required due to differences in protocols and secondary/substrate sensitivity.

Immunogen

A peptide corresponding to residues near the N-terminus of human MSH3 was used as the immunogen for the recombinant MSH3 antibody.

Storage

Store the recombinant MSH3 antibody at -20oC.

Cross
Bulk Quote Request Form
Name*:
Organization*:
Email*:
Phone Number*:
Catalog No.*:
Comments and Specifics(amount, formulation, etc.)*:
Validation code: Captchapackage Image


Can't read the image? click here to refresh.
    *required field

Your bulk quote request has been submitted successfully!

Please contact us if you have any questions.