• Tel: 858.663.9055
  • SeparatorEmail: info@nsjbio.com
  • Tel: 858.663.9055
  • Email: info@nsjbio.com
Home >> Antibodies >> MOBKL3 Antibody / PREI3

MOBKL3 Antibody / PREI3 (R34918)

  Catalog No Formulation Size Price (USD)  
Image R34918-100UG 0.5 mg/ml in 1X TBS, pH7.3, with 0.5% BSA (US sourced) and 0.02% sodium azide 100 ug 449
Bulk quote request
Western blot testing of human frontal cortex lysate with MOBKL3 antibody at 0.3ug/ml. Predicted/observed molecular weight: ~26 kDa.
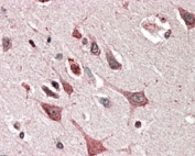
IHC staining of FFPE human cerebral cortex with MOBKL3 antibody at 5ug/ml. HIER: steamed with pH6 citrate buffer, AP-staining.
Western blot testing with MOBKL3 antibody: Lane A: mouse brain at 0.3ug/ml; Lane B: rat brain at 1ug/ml. Predicted/observed molecular weight: ~26 kDa.
Availability 1-3 business days
Species Reactivity Human, Mouse, Rat
Predicted Reactivity Dog, Cow
Format Antigen affinity purified
Clonality Polyclonal (goat origin)
Isotype Goat Ig
Purity Antigen affinity
Gene ID 25843
Applications Western Blot : 0.3-1ug/ml
Immunohistochemistry (FFPE) : 5-10ug/ml
ELISA (peptide) LOD : 1:4000
Limitations This MOBKL3 antibody is available for research use only.
Review this product on BioCompare and get a $20 Amazon gift card

Description

Additional name(s) for this target protein: Mps One Binder kinase activator-like 3, MOB1; PREI3; Preimplantation protein 3; MOB3; MOB4

Application Notes

Optimal dilution of the MOBKL3 antibody should be determined by the researcher.

Immunogen

Amino acids NSNKYFPSRVSIKES were used as the immunogen for this MOBKL3 antibody.

Storage

Aliquot and store the MOBKL3 antibody at -20oC.

Cross
Bulk Quote Request Form
Name*:
Organization*:
Email*:
Phone Number*:
Catalog No.*:
Comments and Specifics(amount, formulation, etc.)*:
Validation code: Captchapackage Image


Can't read the image? click here to refresh.
    *required field

Your bulk quote request has been submitted successfully!

Please contact us if you have any questions.