• Tel: 858.663.9055
  • SeparatorEmail: info@nsjbio.com
  • Tel: 858.663.9055
  • Email: info@nsjbio.com
Home >> Antibodies >> Migfilin-1 Antibody / FLNB / Filamin B / FBLIM1

Migfilin-1 Antibody / FLNB / Filamin B / FBLIM1 [clone FBLIM1/4600] (V9720)

  Catalog No Formulation Size Price (USD)  
Image V9720-100UG 0.2 mg/ml in 1X PBS with 0.1 mg/ml BSA (US sourced), 0.05% sodium azide 100 ug 539
Image
V9720-20UG 0.2 mg/ml in 1X PBS with 0.1 mg/ml BSA (US sourced), 0.05% sodium azide 20 ug 249
Image
V9720SAF-100UG 1 mg/ml in 1X PBS; BSA free, sodium azide free 100 ug 539
Microvalidated
Bulk quote request
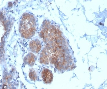
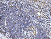
IHC staining of FFPE human breast carcinoma tissue with Migfilin-1 antibody (clone FBLIM1/4600) at 2ug/ml. HIER: boil tissue sections in pH 9 10mM Tris with 1mM EDTA for 20 min and allow to cool before testing.
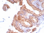
IHC staining of FFPE human breast carcinoma tissue with Migfilin-1 antibody (clone FBLIM1/4600) at 2ug/ml. HIER: boil tissue sections in pH 9 10mM Tris with 1mM EDTA for 20 min and allow to cool before testing.
SDS-PAGE analysis of purified, BSA-free Migfilin-1 antibody (clone FBLIM1/4600) as confirmation of integrity and purity.
Analysis of HuProt(TM) microarray containing more than 19,000 full-length human proteins using Migfilin-1 antibody (clone FBLIM1/4600). These results demonstrate the foremost specificity of the FBLIM1/4600 mAb. Z- and S- score: The Z-score represents the strength of a signal that an antibody (in combination with a fluorescently-tagged anti-IgG secondary Ab) produces when binding to a particular protein on the HuProt(TM) array. Z-scores are described in units of standard deviations (SD's) above the mean value of all signals generated on that array. If the targets on the HuProt(TM) are arranged in descending order of the Z-score, the S-score is the difference (also in units of SD's) between the Z-scores. The S-score therefore represents the relative target specificity of an Ab to its intended target.
Availability 1-3 business days
Species Reactivity Human
Format Purified
Clonality Monoclonal (mouse origin)
Isotype Mouse IgG1, kappa
Clone Name FBLIM1/4600
Purity Protein A/G affinity
UniProt Q8WUP2
Localization Cytoplasm
Applications Western Blot : 1-2ug/ml
Immunofluorescence : 1-2ug/ml
Immunohistochemistry (FFPE) : 1-2ug/ml
Limitations This Migfilin-1 antibody is available for research use only.
Review this product on BioCompare and get a $20 Amazon gift card

Related Products

Description

Serves as an anchoring site for cell-ECM adhesion proteins and filamin-containing actin filaments. Is implicated in cell shape modulation (spreading) and motility. May participate in the regulation of filamin-mediated cross-linking and stabilization of actin filaments. May also regulate the assembly of filamin-containing signaling complexes that control actin assembly. Promotes dissociation of FLNA from ITGB3 and ITGB7. Promotes activation of integrins and regulates integrin-mediated cell-cell adhesion. [UniProt]

Application Notes

Optimal dilution of the Migfilin-1 antibody should be determined by the researcher.

Immunogen

Recombinant full-length human protein was used as the immunogen for the Migfilin-1 antibody.

Storage

Aliquot the Migfilin-1 antibody and store frozen at -20oC or colder. Avoid repeated freeze-thaw cycles.

Cross
Bulk Quote Request Form
Name*:
Organization*:
Email*:
Phone Number*:
Catalog No.*:
Comments and Specifics(amount, formulation, etc.)*:
Validation code: Captchapackage Image


Can't read the image? click here to refresh.
    *required field

Your bulk quote request has been submitted successfully!

Please contact us if you have any questions.