• Tel: 858.663.9055
  • SeparatorEmail: info@nsjbio.com
  • Tel: 858.663.9055
  • Email: info@nsjbio.com
Home >> Antibodies >> MERTK Antibody

MERTK Antibody [clone MERTK/3023] (V8905)

  Catalog No Formulation Size Price (USD)  
Image V8905-100UG 0.2 mg/ml in 1X PBS with 0.1 mg/ml BSA (US sourced), 0.05% sodium azide 100 ug 539
Image
V8905-20UG 0.2 mg/ml in 1X PBS with 0.1 mg/ml BSA (US sourced), 0.05% sodium azide 20 ug 249
Image
V8905SAF-100UG 1 mg/ml in 1X PBS; BSA free, sodium azide free 100 ug 539
Microvalidated
Bulk quote request
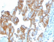
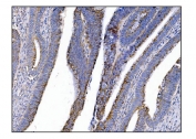
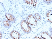
IHC staining of FFPE human colon carcinoma tissue with MERTK antibody (clone MERTK/3023). HIER: boil tissue sections in pH 9 10mM Tris with 1mM EDTA for 20 min and allow to cool before testing.
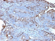
IHC staining of FFPE human colon carcinoma tissue with MERTK antibody (clone MERTK/3023). HIER: boil tissue sections in pH 9 10mM Tris with 1mM EDTA for 20 min and allow to cool before testing.
Analysis of HuProt(TM) microarray containing more than 19,000 full-length human proteins using MERTK antibody (clone MERTK/3023). These results demonstrate the foremost specificity of the MERTK/3023 mAb. Z- and S- score: The Z-score represents the strength of a signal that an antibody (in combination with a fluorescently-tagged anti-IgG secondary Ab) produces when binding to a particular protein on the HuProt(TM) array. Z-scores are described in units of standard deviations (SD's) above the mean value of all signals generated on that array. If the targets on the HuProt(TM) are arranged in descending order of the Z-score, the S-score is the difference (also in units of SD's) between the Z-scores. The S-score therefore represents the relative target specificity of an Ab to its intended target.
Availability 1-3 business days
Species Reactivity Human
Format Purified
Clonality Monoclonal (mouse origin)
Isotype Mouse IgG2a
Clone Name MERTK/3023
Purity Protein A/G affinity
UniProt Q12866
Localization Cell surface
Applications Immunohistochemistry (FFPE) : 1-2ug/ml
Limitations This MERTK antibody is available for research use only.
Review this product on BioCompare and get a $20 Amazon gift card

Related Products

  • Applications : IHC-P
    Reactivity : Human
    Microvalidated
  • Applications : IHC-P
    Reactivity : Human
    Microvalidated
  • Applications : IHC-P
    Reactivity : Human
    Microvalidated
  • Applications : IHC-P
    Reactivity : Human
  • Applications : WB, FACS
    Reactivity : Human, Mouse, Rat, Monkey
  • Applications : IHC, FACS, IF, WB, ELISA
    Reactivity : Human
  • Applications : WB, ELISA
    Reactivity : Mouse, Rat
  • Applications : WB, ELISA (peptide)
    Reactivity : Human
  • Applications : WB, IHC-P, FACS, Direct ELISA
    Reactivity : Human, Mouse, Rat

Description

MERTK, also called c-Mer, is a member of the Mer/Axl/Tyro3 receptor kinase family. It protein plays a critical role in macrophage activation, platelet aggregation, clot stability and the efficient removal of apoptotic cells.

Application Notes

Optimal dilution of the MERTK antibody should be determined by the researcher.

Immunogen

A portion of amino acids 55-148 was used as the immunogen for the MERTK antibody.

Storage

Aliquot the MERTK antibody and store frozen at -20oC or colder. Avoid repeated freeze-thaw cycles.

Cross
Bulk Quote Request Form
Name*:
Organization*:
Email*:
Phone Number*:
Catalog No.*:
Comments and Specifics(amount, formulation, etc.)*:
Validation code: Captchapackage Image


Can't read the image? click here to refresh.
    *required field

Your bulk quote request has been submitted successfully!

Please contact us if you have any questions.