• Tel: 858.663.9055
  • SeparatorEmail: info@nsjbio.com
  • Tel: 858.663.9055
  • Email: info@nsjbio.com
Home >> Antibodies >> MBD2 Antibody / Methyl-CpG-binding domain protein 2

MBD2 Antibody / Methyl-CpG-binding domain protein 2 (R35686)

  Catalog No Formulation Size Price (USD)  
Image R35686-100UG 0.5 mg/ml in 1X TBS, pH7.3, with 0.5% BSA (US sourced) and 0.02% sodium azide 100 ug 449
Bulk quote request
Western blot testing of Jurkat cell lysate with MBD2 antibody at 0.3ug/ml. Predicted/observed molecular weight: ~47kDa.
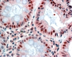
IHC staining of FFPE human colon with MBD2 antibody at 2.5ug/ml. HIER: steamed with pH6 citrate buffer, AP-staining.
Availability 1-3 business days
Species Reactivity Human
Predicted Reactivity Dog, Mouse, Rat
Format Antigen affinity purified
Clonality Polyclonal (goat origin)
Isotype Goat Ig
Purity Antigen affinity
Gene ID 8932
Applications Western Blot : 0.3-1ug/ml
Immunohistochemistry (FFPE) : 2-4ug/ml
ELISA (peptide) LOD : 1:64000
Limitations This MBD2 antibody is available for research use only.
Review this product on BioCompare and get a $20 Amazon gift card

Related Products

Description

Additional name(s) for this target protein: Methyl-CpG binding domain protein 2

Application Notes

Optimal dilution of the MBD2 antibody should be determined by the researcher.

1. This MBD2 antibody is specific for isoform 1.

Immunogen

Amino acids RNDPLNQNKGKPDLN were used as the immunogen for this MBD2 antibody.

Storage

Aliquot and store the MBD2 antibody at -20oC.

Cross
Bulk Quote Request Form
Name*:
Organization*:
Email*:
Phone Number*:
Catalog No.*:
Comments and Specifics(amount, formulation, etc.)*:
Validation code: Captchapackage Image


Can't read the image? click here to refresh.
    *required field

Your bulk quote request has been submitted successfully!

Please contact us if you have any questions.