• Tel: 858.663.9055
  • SeparatorEmail: info@nsjbio.com
  • Tel: 858.663.9055
  • Email: info@nsjbio.com
Home >> Antibodies >> MARS1 Antibody / Methionyl-tRNA synthetase / MetRS

MARS1 Antibody / Methionyl-tRNA synthetase / MetRS (RQ7269)

  Catalog No Formulation Size Price (USD)  
Image RQ7269 0.5mg/ml if reconstituted with 0.2ml sterile DI water 100 ug 439
Bulk quote request
Immunofluorescent staining of FFPE human U-2 OS cells with MARS1 antibody (green) and DAPI nuclear stain (blue). HIER: steam section in pH6 citrate buffer for 20 min.
Western blot testing of human 1) HeLa and 2) HepG2 cell lysate with MARS1 antibody. Predicted molecular weight ~101 kDa.
Western blot testing of human 1) HeLa, 2) HepG2, 3) A549 and 4) K562 cell lysate with MARS1 antibody. Predicted molecular weight ~101 kDa.
Immunoprecipitation of MARS1 protein from 500ug of human A549 whole cell lysate with 2ug of MARS1 antibody.
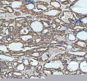
IHC staining of FFPE human thyroid cancer tissue with MARS1 antibody, HRP-labeled secondary and DAB substrate. HIER: boil tissue sections in pH8 EDTA for 20 min and allow to cool before testing.
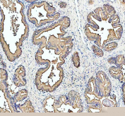
IHC staining of FFPE human prostate cancer tissue with MARS1 antibody, HRP-labeled secondary and DAB substrate. HIER: boil tissue sections in pH8 EDTA for 20 min and allow to cool before testing.
Immunofluorescent staining of FFPE human prostate cancer tissue with MARS1 antibody (red) and DAPI nuclear stain (blue). HIER: steam section in pH8 EDTA buffer for 20 min.
Flow cytometry testing of fixed and permeabilized human K562 cells with MARS1 antibody at 1ug/million cells (blocked with goat sera); Red=cells alone, Green=isotype control, Blue= MARS1 antibody.
Availability 1-3 business days
Species Reactivity Human
Format Antigen affinity purified
Clonality Polyclonal (rabbit origin)
Isotype Rabbit IgG
Purity Antigen affinity purified
Buffer Lyophilized from 1X PBS with 2% Trehalose
UniProt P56192
Localization Cytoplasm, nucleolus
Applications Western Blot : 0.5-1ug/ml
Flow Cytometry : 1-3ug/million cells
Direct ELISA : 0.1-0.5ug/ml
Immunofluorescence : 5ug/ml
Immunohistochemistry (FFPE) : 2-5ug/ml
Limitations This MARS1 antibody is available for research use only.
Review this product on BioCompare and get a $20 Amazon gift card

Description

MARS1, also known as Methionyl-tRNA synthetase, is a key enzyme involved in the first step of protein synthesis. It catalyzes the attachment of methionine to its corresponding tRNA (tRNA^Met^), forming methionyl-tRNA, a critical substrate for translation initiation. MARS1 belongs to the class I aminoacyl-tRNA synthetase family and is essential for accurate codon recognition and efficient protein synthesis in both the cytoplasm and mitochondria.

Beyond its canonical role in translation, MARS1 has been implicated in several non-translational functions, including regulation of immune signaling, stress response, and cell survival pathways. Alterations in MARS1 expression or function have been associated with a range of human disorders, including interstitial lung and liver disease, neurodegeneration, and cancer. Due to its multifunctional role, MARS1 is of growing interest in studies of cellular metabolism, genetic disease, and therapeutic targeting.

The MARS1 antibody is a valuable research tool for detecting endogenous MARS1 in various model systems and tissue types. It is widely used in western blot, immunohistochemistry, and immunofluorescence applications to monitor MARS1 expression, localization, and potential dysregulation. With high specificity and sensitivity, the MARS1 antibody enables accurate analysis of translation machinery and supports research into disease mechanisms. Incorporating the MARS1 antibody into your workflow ensures robust performance for studies of protein biosynthesis and beyond.

Application Notes

Optimal dilution of the MARS1 antibody should be determined by the researcher.

Immunogen

Recombinant human protein (amino acids R25-E887) was used as the immunogen for the MARS1 antibody.

Storage

After reconstitution, the MARS1 antibody can be stored for up to one month at 4oC. For long-term, aliquot and store at -20oC. Avoid repeated freezing and thawing.

Cross
Bulk Quote Request Form
Name*:
Organization*:
Email*:
Phone Number*:
Catalog No.*:
Comments and Specifics(amount, formulation, etc.)*:
Validation code: Captchapackage Image


Can't read the image? click here to refresh.
    *required field

Your bulk quote request has been submitted successfully!

Please contact us if you have any questions.