• Tel: 858.663.9055
  • SeparatorEmail: info@nsjbio.com
  • Tel: 858.663.9055
  • Email: info@nsjbio.com
Home >> Antibodies >> Lysophospholipase 1 Antibody / LYPLA1 / LPL-I

Lysophospholipase 1 Antibody / LYPLA1 / LPL-I (RQ8475)

  Catalog No Formulation Size Price (USD)  
Image RQ8475 0.5mg/ml if reconstituted with 0.2ml sterile DI water 100 ug 439
Bulk quote request
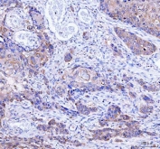
IHC staining of FFPE human rectum adenocarcinoma tissue with Lysophospholipase 1 antibody. HIER: boil tissue sections in pH8 EDTA for 20 min and allow to cool before testing.
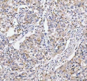
IHC staining of FFPE human lung cancer tissue with Lysophospholipase 1 antibody. HIER: boil tissue sections in pH8 EDTA for 20 min and allow to cool before testing.
IHC staining of FFPE human esophageal squamous carcinoma tissue with Lysophospholipase 1 antibody. HIER: boil tissue sections in pH8 EDTA for 20 min and allow to cool before testing.
Western blot testing of 1) human HeLa, 2) human K562, 3) human HEL, 4) human RT4, 5) rat liver and 6) mouse liver tissue lysate with Lysophospholipase 1 antibody. Predicted molecular weight ~25 kDa.
Flow cytometry testing of fixed and permeabilized human HEL cells with Lysophospholipase 1 antibody at 1ug/million cells (blocked with goat sera); Red=cells alone, Green=isotype control, Blue= Lysophospholipase 1 antibody.
Availability 1-3 days
Species Reactivity Human, Mouse, Rat
Format Antigen affinity purified
Clonality Polyclonal (rabbit origin)
Isotype Rabbit IgG
Purity Antigen affinity purified
Buffer Lyophilized from 1X PBS with 2% Trehalose
UniProt O75608
Localization Cytoplasm, cell membrane, nuclear membrane
Applications Western Blot : 0.5-1ug/ml
Immunohistochemistry (FFPE) : 2-5ug/ml
Flow Cytometry : 1-3ug/million cells
ELISA : 0.1-0.5ug/ml
Limitations This Lysophospholipase 1 antibody is available for research use only.
Review this product on BioCompare and get a $20 Amazon gift card

Description

Acyl-protein thioesterase 1 is an enzyme that in humans is encoded by the LYPLA1 gene. This gene encodes a member of the alpha/beta hydrolase superfamily. The encoded protein functions as a homodimer, exhibiting both depalmitoylating as well as lysophospholipase activity, and may be involved in Ras localization and signaling. Alternate splicing results in multiple transcript variants. Pseudogenes of this gene have been defined on chromosomes 4, 6, and 7.

Application Notes

Optimal dilution of the Lysophospholipase 1 antibody should be determined by the researcher.

Immunogen

An E.coli-derived human recombinant protein (amino acids H35-D230) was used as the immunogen for the Lysophospholipase 1 antibody.

Storage

After reconstitution, the Lysophospholipase 1 antibody can be stored for up to one month at 4oC. For long-term, aliquot and store at -20oC. Avoid repeated freezing and thawing.

Cross
Bulk Quote Request Form
Name*:
Organization*:
Email*:
Phone Number*:
Catalog No.*:
Comments and Specifics(amount, formulation, etc.)*:
Validation code: Captchapackage Image


Can't read the image? click here to refresh.
    *required field

Your bulk quote request has been submitted successfully!

Please contact us if you have any questions.