• Tel: 858.663.9055
  • SeparatorEmail: info@nsjbio.com
  • Tel: 858.663.9055
  • Email: info@nsjbio.com
Home >> Antibodies >> LRG1 Antibody / Leucine-rich alpha-2-glycoprotein

LRG1 Antibody / Leucine-rich alpha-2-glycoprotein (F54874)

  Catalog No Formulation Size Price (USD)  
Image F54874-0.4ML In 1X PBS, pH 7.4, with 0.09% sodium azide 0.4 ml 429
Image
F54874-0.08ML In 1X PBS, pH 7.4, with 0.09% sodium azide 0.08 ml 199
Bulk quote request
Western blot testing of 1) non-transfected and 2) transfected 293 cell lysate with LRG1 antibody.
Western blot testing of human HL60 cell lysate with LRG1 antibody. Predicted molecular weight ~38 kDa.
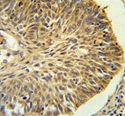
IHC testing of FFPE human lung carcinoma tissue with LRG1 antibody. HIER: steam section in pH6 citrate buffer for 20 min and allow to cool prior to staining.
Flow cytometry testing of human HL60 cells with LRG1 antibody; Blue=isotype control, Green= LRG1 antibody.
Availability 1-3 business days
Species Reactivity Human
Format Purified
Clonality Polyclonal (rabbit origin)
Isotype Rabbit Ig
Purity Purified
UniProt P02750
Applications Flow Cytometry : 1:10-1:50 (1x10e6 cells)
Western Blot : 1:500-1:1000
Immunohistochemistry (FFPE) : 1:50-1:100
Limitations This LRG1 antibody is available for research use only.
Review this product on BioCompare and get a $20 Amazon gift card

Related Products

Description

The leucine-rich repeat (LRR) family of proteins, including LRG1, have been shown to be involved in protein-protein interaction, signal transduction, and cell adhesion and development. LRG1 is expressed during granulocyte differentiation.

Application Notes

The stated application concentrations are suggested starting points. Titration of the LRG1 antibody may be required due to differences in protocols and secondary/substrate sensitivity.

Immunogen

A portion of amino acids 86-114 from the human protein was used as the immunogen for the LRG1 antibody.

Storage

Aliquot the LRG1 antibody and store frozen at -20oC or colder. Avoid repeated freeze-thaw cycles.

Cross
Bulk Quote Request Form
Name*:
Organization*:
Email*:
Phone Number*:
Catalog No.*:
Comments and Specifics(amount, formulation, etc.)*:
Validation code: Captchapackage Image


Can't read the image? click here to refresh.
    *required field

Your bulk quote request has been submitted successfully!

Please contact us if you have any questions.