• Tel: 858.663.9055
  • SeparatorEmail: info@nsjbio.com
  • Tel: 858.663.9055
  • Email: info@nsjbio.com
Home >> Antibodies >> JUP Antibody / Junction Plakoglobin / Gamma Catenin

JUP Antibody / Junction Plakoglobin / Gamma Catenin [clone 4C12D7] (RQ7300)

  Catalog No Formulation Size Price (USD)  
Image RQ7300 0.5mg/ml if reconstituted with 0.2ml sterile DI water 100 ug 439
Bulk quote request
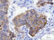
IHC staining of FFPE human lung adenocarcinoma tissue with JUP antibody. HIER: boil tissue sections in pH8 EDTA for 20 min and allow to cool before testing.
IHC staining of FFPE human laryngeal squamous cell carcinoma tissue with JUP antibody. HIER: boil tissue sections in pH8 EDTA for 20 min and allow to cool before testing.
Immunofluorescent staining of FFPE human MCF7 cells with JUP antibody (red) and DAPI nuclear stain (blue). HIER: steam section in pH6 citrate buffer for 20 min.
Western blot testing of 1) human HeLa, 2) human A431, 3) human A549, 4) human MCF7, 5) rat heart and 6) mouse heart tissue lysate with JUP antibody. Expected molecular weight: ~86 kDa.
Flow cytometry testing of human MCF7 cells with JUP antibody at 1ug/million cells (blocked with goat sera); Red=cells alone, Green=isotype control, Blue= JUP antibody.
Availability 1-3 business days
Species Reactivity Human, Mouse, Rat
Format Antigen affinity purified
Clonality Monoclonal (mouse origin)
Isotype Mouse IgG1
Clone Name 4C12D7
Purity Antigen affinity purified
Buffer Lyophilized from 1X PBS with 2% Trehalose
UniProt P14923
Localization Cell surface, cytoplasmic, cell junctions
Applications Western Blot : 0.5-1ug/ml
Immunohistochemistry (FFPE) : 2-5ug/ml
Immunofluorescence : 5ug/ml
Flow Cytometry : 1-3ug/million cells
Limitations This JUP antibody is available for research use only.
Review this product on BioCompare and get a $20 Amazon gift card

Related Products

Description

Junction plakoglobin (JUP), also known as gamma-catenin, is a protein that in humans is encoded by the JUP gene. It is a member of the catenin protein family and homologous to g-catenin, and it is mapped to 17q21.2. This gene encodes a major cytoplasmic protein that is the only known constituent common to submembranous plaques of both desmosomes and intermediate junctions. This protein forms distinct complexes with cadherins and desmosomal cadherins. Meanwhile, JUP may have distinct roles in Wnt signaling and cancer via differential effects on downstream target genes.

Application Notes

Optimal dilution of the JUP antibody should be determined by the researcher.

Immunogen

Recombinant human protein (amino acids M556-A745) was used as the immunogen for the JUP antibody.

Storage

After reconstitution, the JUP antibody can be stored for up to one month at 4oC. For long-term, aliquot and store at -20oC. Avoid repeated freezing and thawing.

Cross
Bulk Quote Request Form
Name*:
Organization*:
Email*:
Phone Number*:
Catalog No.*:
Comments and Specifics(amount, formulation, etc.)*:
Validation code: Captchapackage Image


Can't read the image? click here to refresh.
    *required field

Your bulk quote request has been submitted successfully!

Please contact us if you have any questions.