• Tel: 858.663.9055
  • SeparatorEmail: info@nsjbio.com
  • Tel: 858.663.9055
  • Email: info@nsjbio.com
Home >> Antibodies >> JAZF1 Antibody

JAZF1 Antibody [clone PCRP-JAZF1-1C2] (V9613)

  Catalog No Formulation Size Price (USD)  
Image V9613-100UG 0.2 mg/ml in 1X PBS with 0.1 mg/ml BSA (US sourced), 0.05% sodium azide 100 ug 539
Image
V9613-20UG 0.2 mg/ml in 1X PBS with 0.1 mg/ml BSA (US sourced), 0.05% sodium azide 20 ug 249
Image
V9613SAF-100UG 1 mg/ml in 1X PBS; BSA free, sodium azide free 100 ug 539
Microvalidated
Bulk quote request
Immunofluorescent staining of PFA-fixed human HeLa cells using JAZF1 antibody (green, clone PCRP-JAZF1-1C2) and phalloidin (red).
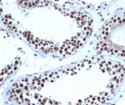
IHC staining of FFPE human testis tissue with JAZF1 antibody (clone PCRP-JAZF1-1C2) at 2ug/ml. HIER: boil tissue sections in pH 9 10mM Tris with 1mM EDTA for 20 min and allow to cool before testing.
FACS staining of PFA-fixed human HeLa cells with JAZF1 antibody (blue, clone PCRP-JAZF1-1C2), and unstained cells (red).
SDS-PAGE analysis of purified, BSA-free JAZF1 antibody (clone PCRP-JAZF1-1C2) as confirmation of integrity and purity.
Analysis of HuProt(TM) microarray containing more than 19,000 full-length human proteins using JAZF1 antibody (clone PCRP-JAZF1-1C2). These results demonstrate the foremost specificity of the PCRP-JAZF1-1C2 mAb. Z- and S- score: The Z-score represents the strength of a signal that an antibody (in combination with a fluorescently-tagged anti-IgG secondary Ab) produces when binding to a particular protein on the HuProt(TM) array. Z-scores are described in units of standard deviations (SD's) above the mean value of all signals generated on that array. If the targets on the HuProt(TM) are arranged in descending order of the Z-score, the S-score is the difference (also in units of SD's) between the Z-scores. The S-score therefore represents the relative target specificity of an Ab to its intended target.
Availability 1-3 business days
Species Reactivity Human
Format Purified
Clonality Monoclonal (mouse origin)
Isotype Mouse IgG2a
Clone Name PCRP-JAZF1-1C2
Purity Protein A/G affinity
UniProt Q86VZ6
Localization Nucleus
Applications Flow Cytometry : 1-2ug/million cells
Immunofluorescence : 1-2ug/ml
Western Blot : 1-2ug/ml
Immunohistochemistry (FFPE) : 1-2ug/ml
Limitations This JAZF1 antibody is available for research use only.
Review this product on BioCompare and get a $20 Amazon gift card

Description

JAZF1 (juxtaposed with another zinc finger protein 1), also known as TIP27 (TAK1-interacting protein 27) or ZNF802 (zinc finger protein 802), is a 243 amino acid protein that localizes to the nucleus and contains three C2H2-type zinc fingers. Existing as multiple alternatively spliced isoforms, JAZF1 interacts with the nuclear orphan receptor TR4 and is thought to function as a transcriptional repressor, effectively down-regulation the expression of TR4. Chromosomal aberrations in the gene encoding JAZF1 are associated with the pathogenesis of endometrial stromal tumors, suggesting a role for JAZF1 in carcinogenesis.

Application Notes

Optimal dilution of the JAZF1 antibody should be determined by the researcher.

Immunogen

A portion of amino acids 1-130 was used as the immunogen for the JAZF1 antibody.

Storage

Aliquot the JAZF1 antibody and store frozen at -20oC or colder. Avoid repeated freeze-thaw cycles.

Cross
Bulk Quote Request Form
Name*:
Organization*:
Email*:
Phone Number*:
Catalog No.*:
Comments and Specifics(amount, formulation, etc.)*:
Validation code: Captchapackage Image


Can't read the image? click here to refresh.
    *required field

Your bulk quote request has been submitted successfully!

Please contact us if you have any questions.