• Tel: 858.663.9055
  • SeparatorEmail: info@nsjbio.com
  • Tel: 858.663.9055
  • Email: info@nsjbio.com
Home >> Antibodies >> HLA-G Antibody

HLA-G Antibody [clone HLAG/8393R] (V5157)

  Catalog No Formulation Size Price (USD)  
Image V5157-100UG 0.2 mg/ml in 1X PBS with 0.1 mg/ml BSA (US sourced), 0.05% sodium azide 100 ug 539
Image
V5157-20UG 0.2 mg/ml in 1X PBS with 0.1 mg/ml BSA (US sourced), 0.05% sodium azide 20 ug 249
Image
V5157SAF-100UG 1 mg/ml in 1X PBS; BSA free, sodium azide free 100 ug 539
Microvalidated Recrabbitmono
Bulk quote request
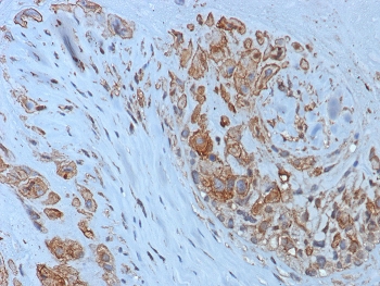
IHC staining of FFPE human placental tissue with HLA-G antibody (clone HLAG/8393R). HIER: boil tissue sections in pH 9 10mM Tris with 1mM EDTA for 20 min and allow to cool before testing.
SDS-PAGE analysis of purified, BSA-free HLA-G antibody (clone HLAG/8393R) as confirmation of integrity and purity.
Western blot testing of human JEG3 cell lysate with HLA-G antibody (clone HLAG/8393R). Expected molecular weight: 35-50 kDa depending on level of glycosylation.
Availability 1-3 business days
Species Reactivity Human
Format Purified
Clonality Recombinant Rabbit Monoclonal
Isotype Rabbit IgG, kappa
Clone Name HLAG/8393R
Purity Protein A/G affinity
UniProt P17693
Localization Cell surface
Applications Immunohistochemistry (FFPE) : 1-2ug/ml for 30 min at RT
Western Blot : 2-4ug/ml
Limitations This HLA-G antibody is available for research use only.
Review this product on BioCompare and get a $20 Amazon gift card

Related Products

Description

Major histocompatibility complex (MHC), human leukocyte antigen (HLA) molecules are cell-surface receptors that bind foreign peptides and present them to T lymphocytes. MHC class I molecules consist of two polypeptide chains, an a or heavy chain, and a non-covalently associated protein, Beta2-microglobulin. Cytotoxic T lymphocytes bind antigenic peptides presented by MHC class I molecules. Antigens that bind to MHC class I molecules are typically 8-10 residues in length and are stabilized in a peptide binding groove. MHC class II molecules are encoded by polymorphic MHC genes and consist of a noncovalent complex of an a and b chain. Helper T lymphocytes bind antigenic peptides presented by MHC class II molecules. MHC class II molecules bind 13-18 amino acid antigenic peptides. Accumulating in endosomal/lysosomal compartments and on the surface of B cells, HLA-DM and -DO molecules regulate binding of exogenous peptides to class II molecules (HLA-DR) by sustaining a conformation that favors peptide exchange. The differential structural properties of MHC class I and class II molecules account for their respective roles in activating different populations of T lymphocytes.

Application Notes

Optimal dilution of the HLA-G antibody should be determined by the researcher.

Immunogen

Purified His-tagged HLA-G protein was used as the immunogen for the HLA-G antibody.

Storage

Aliquot the HLA-G antibody and store frozen at -20oC or colder. Avoid repeated freeze-thaw cycles.

Cross
Bulk Quote Request Form
Name*:
Organization*:
Email*:
Phone Number*:
Catalog No.*:
Comments and Specifics(amount, formulation, etc.)*:
Validation code: Captchapackage Image


Can't read the image? click here to refresh.
    *required field

Your bulk quote request has been submitted successfully!

Please contact us if you have any questions.