• Tel: 858.663.9055
  • SeparatorEmail: info@nsjbio.com
  • Tel: 858.663.9055
  • Email: info@nsjbio.com
Home >> Antibodies >> Growth Hormone Antibody

Growth Hormone Antibody (R30109)

  Catalog No Formulation Size Price (USD)  
Image R30109 0.5mg/ml if reconstituted with 0.2ml sterile DI water 100 ug 439
Bulk quote request
Western blot testing of Growth Hormone antibody and Lane 1: Recombinant rat GH protein 10ng; 2: 5ng; 3: 2.5ng
Western blot testing of 5ng of recombinant rat protein with Growth Hormone antibody.
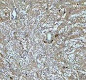
IHC staining of FFPE rat brain tissue with Growth Hormone antibody. HIER: boil tissue sections in pH8 EDTA for 20 min and allow to cool before testing.
Availability 1-3 business days
Species Reactivity Rat
Format Antigen affinity purified
Clonality Polyclonal (rabbit origin)
Isotype Rabbit IgG
Purity Antigen affinity
Buffer Lyophilized from 1X PBS with 0.025% sodium azide
UniProt P01244
Applications Western Blot (recombinant Protein) : 0.5-1ug/ml
Immunohistochemistry (FFPE) : 2-5ug/ml
ELISA : 0.1-0.5ug/ml (rat protein tested)
Limitations This Growth Hormone antibody is available for research use only.
Review this product on BioCompare and get a $20 Amazon gift card

Related Products

Description

Growth Hormone (GH) is mapped to 17q22-q24. Human growth hormone has a molecular mass of 22,005 and contains 191 amino acid residues with 2 disulfide bridges. Rat GH shares 98% amino acid sequence homology with mouse. It binds two receptor molecules and thereby induces signal transduction through receptor dimerization. At high concentrations, GH acts as an antagonist because of a large difference in affinities at the respective binding sites.

Application Notes

The stated application concentrations are suggested starting amounts. Titration of the Growth Hormone antibody may be required due to differences in protocols and secondary/substrate sensitivity.

Immunogen

Rat partial recombinant protein (AA 27-216) was used as the immunogen for this Growth Hormone antibody.

Storage

After reconstitution, the Growth Hormone antibody can be stored for up to one month at 4oC. For long-term, aliquot and store at -20oC. Avoid repeated freezing and thawing.

Cross
Bulk Quote Request Form
Name*:
Organization*:
Email*:
Phone Number*:
Catalog No.*:
Comments and Specifics(amount, formulation, etc.)*:
Validation code: Captchapackage Image


Can't read the image? click here to refresh.
    *required field

Your bulk quote request has been submitted successfully!

Please contact us if you have any questions.