• Tel: 858.663.9055
  • SeparatorEmail: info@nsjbio.com
  • Tel: 858.663.9055
  • Email: info@nsjbio.com
Home >> Antibodies >> Growth Hormone Antibody (Human)

Growth Hormone Antibody (Human) (R30125)

  Catalog No Formulation Size Price (USD)  
Image R30125 0.5mg/ml if reconstituted with 0.2ml sterile DI water 100 ug 439
Bulk quote request
Western blot testing of Growth Hormone antibody and Lane 1: Recombinant human GH protein 10ng; 2: 5ng; 3: 2.5ng; 4: 1.25ng
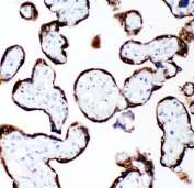
IHC-P: Growth Hormone antibody testing of human placenta tissue
Western blot testing of human placental tissue with Growth Hormone antibody. Predicted molecular weight: 22-25 kDa.
Availability 1-3 business days
Species Reactivity Human
Format Antigen affinity purified
Clonality Polyclonal (rabbit origin)
Isotype Rabbit IgG
Purity Antigen affinity
Buffer Lyophilized from 1X PBS with 0.025% sodium azide
UniProt P01241
Applications Western Blot : 0.5-1ug/ml
IHC (FFPE) : 0.5-1ug/ml
ELISA : 0.1-0.5ug/ml (human protein tested)
Limitations This Growth Hormone antibody is available for research use only.
Review this product on BioCompare and get a $20 Amazon gift card

Related Products

Description

Growth hormone (GH) is mapped to 17q22-q24. GH is synthesized by acidophilic or somatotropic cells of the anterior pituitary gland. Human Growth hormone has a molecular mass of 22,005 and contains 191 amino acid residues with 2 disulfide bridges. It binds two receptor molecules and thereby induces signal transduction through receptor dimerization. At high concentrations, GH acts as an antagonist because of a large difference in affinities at the respective binding sites.

Application Notes

The stated application concentrations are suggested starting points. Titration of the Growth Hormone antibody may be required due to differences in protocols and secondary/substrate sensitivity.

Immunogen

Human partial recombinant protein (AA 27-217) was used as the immunogen for this Growth Hormone antibody.

Storage

After reconstitution, the Growth Hormone antibody can be stored for up to one month at 4oC. For long-term, aliquot and store at -20oC. Avoid repeated freezing and thawing.

Cross
Bulk Quote Request Form
Name*:
Organization*:
Email*:
Phone Number*:
Catalog No.*:
Comments and Specifics(amount, formulation, etc.)*:
Validation code: Captchapackage Image


Can't read the image? click here to refresh.
    *required field

Your bulk quote request has been submitted successfully!

Please contact us if you have any questions.