• Tel: 858.663.9055
  • SeparatorEmail: info@nsjbio.com
  • Tel: 858.663.9055
  • Email: info@nsjbio.com
Home >> Antibodies >> Glyoxalase 1 Antibody / GLO1

Glyoxalase 1 Antibody / GLO1 [clone CPTC-GLO1-3] (V7812)

  Catalog No Formulation Size Price (USD)  
Image V7812-100UG 0.2 mg/ml in 1X PBS with 0.1 mg/ml BSA (US sourced) and 0.05% sodium azide 100 ug 539
Image
V7812-20UG 0.2 mg/ml in 1X PBS with 0.1 mg/ml BSA (US sourced) and 0.05% sodium azide 20 ug 249
Image
V7812SAF-100UG 1 mg/ml in 1X PBS; BSA free, sodium azide free 100 ug 539
Bulk quote request
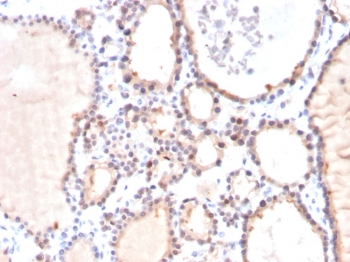
IHC testing of FFPE human thyroid carcinoma stained with Glyoxalase 1 antibody (clone CPTC-GLO1-3). Required HIER: boiling tissue sections in pH 9 10mM Tris with 1mM EDTA for 10-20 min followed by cooling at RT for 20 min.
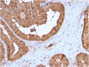
IHC testing of FFPE human prostate carcinoma stained with Glyoxalase 1 antibody (clone CPTC-GLO1-3). Required HIER: boiling tissue sections in pH 9 10mM Tris with 1mM EDTA for 10-20 min followed by cooling at RT for 20 min.
Western blot testing of human HeLa and HepG2 cell lysate with Glyoxalase 1 antibody (clone CPTC-GLO1-3). Predicted molecular weight ~21 kDa.
SDS-PAGE analysis of purified, BSA-free Glyoxalase 1 antibody (clone CPTC-GLO1-3) as confirmation of integrity and purity.
Availability 1-3 business days
Species Reactivity Human
Format Purified
Clonality Monoclonal (mouse origin)
Isotype Mouse IgG1, kappa
Clone Name CPTC-GLO1-3
Purity Protein G affinity chromatography
UniProt Q04760
Localization Cytoplasmic
Applications Western Blot : 1-2ug/ml
Immunohistochemistry (FFPE) : 1-2ug/ml
Limitations This Glyoxalase 1 antibody is available for research use only.
Review this product on BioCompare and get a $20 Amazon gift card

Related Products

Description

GLO1 is an enzyme involved in the detoxification of methylgyoxal, a byproduct of glycolysis. GLO1 expression has been demonstrated by several studies to be upregulated in various human malignant tumors, including metastatic melanoma and lung carcinoma, and thus is a target for pharmaceutical development.

Application Notes

Optimal dilution of the Glyoxalase 1 antibody should be determined by the researcher.

Immunogen

Full length human recombinant protein was used as the immunogen for the Glyoxalase 1 antibody.

Storage

Store the Glyoxalase 1 antibody at 2-8oC (with azide) or aliquot and store at -20oC or colder (without azide).

Cross
Bulk Quote Request Form
Name*:
Organization*:
Email*:
Phone Number*:
Catalog No.*:
Comments and Specifics(amount, formulation, etc.)*:
Validation code: Captchapackage Image


Can't read the image? click here to refresh.
    *required field

Your bulk quote request has been submitted successfully!

Please contact us if you have any questions.