• Tel: 858.663.9055
  • SeparatorEmail: info@nsjbio.com
  • Tel: 858.663.9055
  • Email: info@nsjbio.com
Home >> Antibodies >> Geminin Antibody

Geminin Antibody [clone CPTC-GMNN-1] (V7318)

  Catalog No Formulation Size Price (USD)  
Image V7318-100UG 0.2 mg/ml in 1X PBS with 0.1 mg/ml BSA (US sourced) and 0.05% sodium azide 100 ug 539
Image
V7318-20UG 0.2 mg/ml in 1X PBS with 0.1 mg/ml BSA (US sourced) and 0.05% sodium azide 20 ug 249
Image
V7318SAF-100UG 1 mg/ml in 1X PBS; BSA free, sodium azide free 100 ug 539
Image
V7318IHC-7ML Prediluted in 1X PBS with 0.1 mg/ml BSA (US sourced) and 0.05% sodium azide; *For IHC use only* 7 ml 539
Microvalidated
Bulk quote request
Immunofluorescent staining of PFA-fixed human HeLa cells with Geminin antibody antibody (clone CPTC-GMNN-1, green) and Phalloidin (red).
Analysis of HuProt(TM) microarray containing more than 19,000 full-length human proteins using Geminin antibody (clone CPTC-GMNN-1). These results demonstrate the foremost specificity of the CPTC-GMNN-1 mAb. Z- and S- score: The Z-score represents the strength of a signal that an antibody (in combination with a fluorescently-tagged anti-IgG secondary Ab) produces when binding to a particular protein on the HuProt(TM) array. Z-scores are described in units of standard deviations (SD's) above the mean value of all signals generated on that array. If the targets on the HuProt(TM) are arranged in descending order of the Z-score, the S-score is the difference (also in units of SD's) between the Z-scores. The S-score therefore represents the relative target specificity of an Ab to its intended target.
SDS-PAGE analysis of purified, BSA-free Geminin antibody (clone CPTC-GMNN-1) as confirmation of integrity and purity.
Availability 1-3 business days
Species Reactivity Human
Format Purified
Clonality Monoclonal (mouse origin)
Isotype Mouse IgG1
Clone Name CPTC-GMNN-1
Purity Protein G affinity chromatography
UniProt O75496
Localization Nuclear, cytoplasmic
Applications Immunofluorescence : 1-2ug/ml
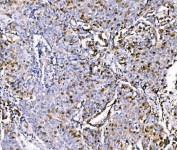
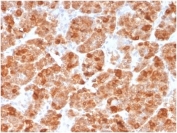
Immunohistochemistry (FFPE) : 0.5-1ug/ml for 30 min at RT
Limitations This Geminin antibody is available for research use only.
Review this product on BioCompare and get a $20 Amazon gift card

Related Products

Description

Geminin is a nuclear protein that regulates the initiation of DNA replication during the cell cycle. DNA replication requires the coordinated association of Cdc6 and minichromosome maintenance (MCM) proteins with chromatin. Geminin blocks this assembly of the MCM into the prereplication complex and, in turn, prevents replication from occurring. Expression of Geminin fluctuates throughout the cell cycle with Geminin levels lowest at G1. Throughout S, G2 and M phases, Geminin levels are consistently elevated followed by a decrease during mitosis. The initiation of DNA replication is dependent on the degradation of Geminin during mitosis and the absence of Geminin throughout G1 phase. Geminin degradation is mediated by the anaphase-promoting complex (APC), which specifically targets B-type cyclins and other proteins containing a destruction box motif for degradation by ubiquitinmediated proteolysis. While geminin expression is essential in maintaining chromosomal integrity, it is frequently overexpressed in cancers and evidence suggests that it plays a significant role in tumor proliferation and progression.

Application Notes

Optimal dilution of the Geminin antibody should be determined by the researcher.

1. The prediluted format is supplied in a dropper bottle and is optimized for use in IHC. After epitope retrieval step (if required), drip mAb solution onto the tissue section and incubate at RT for 30 min.

Immunogen

Full length recombinant human protein was used as the immunogen for this Geminin antibody.

Storage

Store the Geminin antibody at 2-8oC (with azide) or aliquot and store at -20oC or colder (without azide).

Cross
Bulk Quote Request Form
Name*:
Organization*:
Email*:
Phone Number*:
Catalog No.*:
Comments and Specifics(amount, formulation, etc.)*:
Validation code: Captchapackage Image


Can't read the image? click here to refresh.
    *required field

Your bulk quote request has been submitted successfully!

Please contact us if you have any questions.