• Tel: 858.663.9055
  • SeparatorEmail: info@nsjbio.com
  • Tel: 858.663.9055
  • Email: info@nsjbio.com
Home >> Antibodies >> GCDFP-15 Antibody / Gross cystic disease fluid protein 15 / Prolactin-Induced Protein

GCDFP-15 Antibody / Gross cystic disease fluid protein 15 / Prolactin-Induced Protein [clone PIP/9076R] (V5231)

  Catalog No Formulation Size Price (USD)  
Image V5231-100UG 0.2 mg/ml in 1X PBS with 0.1 mg/ml BSA (US sourced), 0.05% sodium azide 100 ug 539
Image
V5231-20UG 0.2 mg/ml in 1X PBS with 0.1 mg/ml BSA (US sourced), 0.05% sodium azide 20 ug 249
Image
V5231SAF-100UG 1 mg/ml in 1X PBS; BSA free, sodium azide free 100 ug 539
Microvalidated Recrabbitmono
Bulk quote request
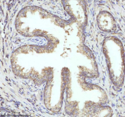
IHC staining of FFPE human breast carcinoma tissue with GCDFP-15 antibody (clone PIP/9076R). HIER: boil tissue sections in pH 9 10mM Tris with 1mM EDTA for 20 min and allow to cool before testing.
Availability 1-3 business days
Species Reactivity Human
Format Purified
Clonality Recombinant Rabbit Monoclonal
Isotype Rabbit IgG, kappa
Clone Name PIP/9076R
Purity Protein A/G affinity
UniProt P12273
Localization Cytoplasm, Secreted
Applications Immunohistochemistry (FFPE) : 1-2ug/ml for 30 min at RT
Limitations This GCDFP-15 antibody is available for research use only.
Review this product on BioCompare and get a $20 Amazon gift card

Related Products

Description

It recognizes a protein of 15kDa, identified as Gross cystic disease fluid protein 15 (GCDFP-15). It is a major protein component of benign breast gross cysts. It is a known marker of breast cancer, as it is found in approximately 50% of all breast cancer specimens. GCDFP-15, also known as Prolactin-Induced Protein (PIP), for prolactin inducible protein, is a prolactin and androgen-controlled protein. This antibody is useful in the identification of metastatic breast carcinoma, or fluid analysis.

Application Notes

Optimal dilution of the GCDFP-15 antibody should be determined by the researcher.

Immunogen

A recombinant partial protein sequence (within amino acids 1-146) from the human protein was used as the immunogen for the GCDFP-15 antibody.

Storage

Aliquot the GCDFP-15 antibody and store frozen at -20oC or colder. Avoid repeated freeze-thaw cycles.

Cross
Bulk Quote Request Form
Name*:
Organization*:
Email*:
Phone Number*:
Catalog No.*:
Comments and Specifics(amount, formulation, etc.)*:
Validation code: Captchapackage Image


Can't read the image? click here to refresh.
    *required field

Your bulk quote request has been submitted successfully!

Please contact us if you have any questions.