• Tel: 858.663.9055
  • SeparatorEmail: info@nsjbio.com
  • Tel: 858.663.9055
  • Email: info@nsjbio.com
Home >> Antibodies >> Gamma Catenin Antibody / Plakoglobin

Gamma Catenin Antibody / Plakoglobin (R34108)

  Catalog No Formulation Size Price (USD)  
Image R34108-100UG 0.5 mg/ml in 1X TBS, pH7.3, with 0.5% BSA (US sourced) and 0.02% sodium azide 100 ug 449
Bulk quote request
Western blot testing of human A431 [A] and mouse NIH3T3 [B] cell lysates with Gamma Catenin antibody at 0.3ug/ml. Predicted molecular weight ~82 kDa.
Western blot of rat eye lysate with Gamma Catenin antibody at 1ug/ml. Predicted molecular weight ~82 kDa.
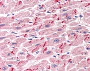
IHC testing of FFPE human heart tissue with Gamma Catenin antibody at 5ug/ml. Required HIER: steamed antigen retrieval with pH6 citrate buffer; AP-staining.
Availability 1-3 business days
Species Reactivity Human, Mouse, Rat
Predicted Reactivity Dog, Pig
Format Antigen affinity purified
Clonality Polyclonal (goat origin)
Isotype Goat Ig
Purity Antigen affinity
Gene ID 3728
Localization Cell surface, cytoplasmic, cell junctions
Applications Western Blot : 0.3-1ug/ml
IHC (FFPE) : 5ug/ml
ELISA (peptide) LOD : 1:32000
Limitations This Gamma Catenin antibody is available for research use only.
Review this product on BioCompare and get a $20 Amazon gift card

Related Products

Description

Additional name(s) for this target protein: Junction plakoglobin; JUP

Application Notes

Optimal dilution of the Gamma Catenin antibody should be determined by the researcher.

Immunogen

Amino acids GLRPPYPTADHMLA were used as the immunogen for this Gamma Catenin antibody.

Storage

Aliquot and store the Gamma Catenin antibody at -20oC.

Cross
Bulk Quote Request Form
Name*:
Organization*:
Email*:
Phone Number*:
Catalog No.*:
Comments and Specifics(amount, formulation, etc.)*:
Validation code: Captchapackage Image


Can't read the image? click here to refresh.
    *required field

Your bulk quote request has been submitted successfully!

Please contact us if you have any questions.