• Tel: 858.663.9055
  • SeparatorEmail: info@nsjbio.com
  • Tel: 858.663.9055
  • Email: info@nsjbio.com
Home >> Antibodies >> FXN Antibody / Frataxin

FXN Antibody / Frataxin [clone FXN/2124] (V3992)

  Catalog No Formulation Size Price (USD)  
Image V3992-100UG 0.2 mg/ml in 1X PBS with 0.1 mg/ml BSA (US sourced) and 0.05% sodium azide 100 ug 539
Image
V3992-20UG 0.2 mg/ml in 1X PBS with 0.1 mg/ml BSA (US sourced) and 0.05% sodium azide 20 ug 249
Image
V3992SAF-100UG 1 mg/ml in 1X PBS; BSA free, sodium azide free 100 ug 539
Image
V3992IHC-7ML Prediluted in 1X PBS with 0.1 mg/ml BSA (US sourced) and 0.05% sodium azide; *For IHC use only* 7 ml 539
Microvalidated
Bulk quote request
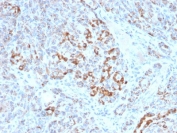
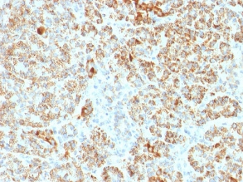
IHC testing of FFPE human pancreas with FXN antibody. Required HIER: boil tissue sections in pH 9 10mM Tris with 1mM EDTA for 10-20 min and allow to cool before testing.
IHC testing of FFPE human pancreas with FXN antibody. Required HIER: boil tissue sections in pH 9 10mM Tris with 1mM EDTA for 10-20 min and allow to cool before testing.
Western blot testing of Fascin antibody and human 1) Panc-2 and 2) HepG2 cell lysate (clone FXN/2124). Expected molecular weight: ~23 kDa (full length), ~14 kDa (mature).
Analysis of HuProt(TM) microarray containing more than 19,000 full-length human proteins using FXN antibody. These results demonstrate the foremost specificity of the FXN/2124 mAb.
Z- and S- score: The Z-score represents the strength of a signal that an antibody (in combination with a fluorescently-tagged anti-IgG secondary Ab) produces when binding to a particular protein on the HuProt(TM) array. Z-scores are described in units of standard deviations (SD's) above the mean value of all signals generated on that array. If the targets on the HuProt(TM) are arranged in descending order of the Z-score, the S-score is the difference (also in units of SD's) between the Z-scores. The S-score therefore represents the relative target specificity of an Ab to its intended target.
SDS-PAGE analysis of purified, BSA-free FXN antibody (clone FXN/2124) as confirmation of integrity and purity.
Availability 1-3 business days
Species Reactivity Human
Format Purified
Clonality Monoclonal (mouse origin)
Isotype Mouse IgG2b, kappa
Clone Name FXN/2124
Purity Protein G affinity chromatography
UniProt Q16595
Localization Cytoplasmic
Applications Western Blot : 0.5-2ug/ml
Immunohistochemistry (FFPE) : 1-2ug/ml for 30 min at RT
Limitations This FXN antibody is available for research use only.
Review this product on BioCompare and get a $20 Amazon gift card

Related Products

Description

Frataxin is a nuclear-encoded mitochondrial protein implicated in Friedreich's ataxia (FRDA), a human autosomal recessive neurodegenerative disease. Lack of Frataxin causes iron to accumulate in the mitochondrial matrix suggesting that Frataxin is involved in mitochondrial iron homeostasis and possibly in iron transport. Frataxin has an alpha-beta fold consisting of two helices flanking an antiparallel beta sheet.

Application Notes

Optimal dilution of the FXN antibody should be determined by the researcher.

1. The prediluted format is supplied in a dropper bottle and is optimized for use in IHC. After epitope retrieval step (if required), drip mAb solution onto the tissue section and incubate at RT for 30 min.

Immunogen

Amino acids 57-210 from the human protein were used as the immunogen for this FXN antibody.

Storage

Store the FXN antibody at 2-8oC (with azide) or aliquot and store at -20oC or colder (without azide).

Cross
Bulk Quote Request Form
Name*:
Organization*:
Email*:
Phone Number*:
Catalog No.*:
Comments and Specifics(amount, formulation, etc.)*:
Validation code: Captchapackage Image


Can't read the image? click here to refresh.
    *required field

Your bulk quote request has been submitted successfully!

Please contact us if you have any questions.