• Tel: 858.663.9055
  • SeparatorEmail: info@nsjbio.com
  • Tel: 858.663.9055
  • Email: info@nsjbio.com
Home >> Antibodies >> FRY Antibody / Protein furry homolog

FRY Antibody / Protein furry homolog (RQ7510)

  Catalog No Formulation Size Price (USD)  
Image RQ7510 0.5mg/ml if reconstituted with 0.2ml sterile DI water 100 ug 439
Bulk quote request
Immunofluorescent staining of FFPE human liver cancer tissue with FRY antibody (red) and DAPI nuclear stain (blue). HIER: steam section in pH8 EDTA buffer for 20 min.
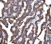
IHC staining of FFPE human liver cancer tissue with FRY antibody. HIER: boil tissue sections in pH8 EDTA for 20 min and allow to cool before testing.
IHC staining of FFPE human ovarian cancer tissue with FRY antibody. HIER: boil tissue sections in pH8 EDTA for 20 min and allow to cool before testing.
IHC staining of FFPE human lung cancer tissue with FRY antibody. HIER: boil tissue sections in pH8 EDTA for 20 min and allow to cool before testing.
IHC staining of FFPE human penis squamous cell carcinoma tissue with FRY antibody. HIER: boil tissue sections in pH8 EDTA for 20 min and allow to cool before testing.
IHC staining of FFPE human colorectal adenocarcinoma tissue with FRY antibody. HIER: boil tissue sections in pH8 EDTA for 20 min and allow to cool before testing.
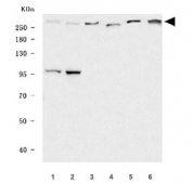
Western blot testing of 1) human RT4, 2) human Caco-2, 3) rat brain, 4) rat lung, 5) mouse brain and 6) mouse lung tissue lysate with FRY antibody. Predicted molecular weight ~339 kDa.
Flow cytometry testing of human SiHa cells with FRY antibody at 1ug/million cells (blocked with goat sera); Red=cells alone, Green=isotype control, Blue= FRY antibody.
Availability 1-3 business days
Species Reactivity Human, Mouse, Rat
Format Antigen affinity purified
Clonality Polyclonal (rabbit origin)
Isotype Rabbit IgG
Purity Antigen affinity purified
Buffer Lyophilized from 1X PBS with 2% Trehalose
UniProt Q5TBA9
Localization Cytoplasmic
Applications Western Blot : 0.5-1ug/ml
Immunohistochemistry (FFPE) : 2-5ug/ml
Flow Cytometry : 1-3ug/million cells
Immunofluorescence : 5ug/ml
Direct ELISA : 0.1-0.5ug/ml
Limitations This FRY antibody is available for research use only.
Review this product on BioCompare and get a $20 Amazon gift card

Description

Predicted to enable enzyme inhibitor activity. Predicted to be involved in cell morphogenesis and neuron projection development. Predicted to be located in microtubule organizing center and spindle pole. Predicted to be active in cell cortex and site of polarized growth.

Application Notes

Optimal dilution of the FRY antibody should be determined by the researcher.

Immunogen

E. coli-derived recombinant human protein (amino acids E11-L3013) was used as the immunogen for the FRY antibody.

Storage

After reconstitution, the FRY antibody can be stored for up to one month at 4oC. For long-term, aliquot and store at -20oC. Avoid repeated freezing and thawing.

Cross
Bulk Quote Request Form
Name*:
Organization*:
Email*:
Phone Number*:
Catalog No.*:
Comments and Specifics(amount, formulation, etc.)*:
Validation code: Captchapackage Image


Can't read the image? click here to refresh.
    *required field

Your bulk quote request has been submitted successfully!

Please contact us if you have any questions.