• Tel: 858.663.9055
  • SeparatorEmail: info@nsjbio.com
  • Tel: 858.663.9055
  • Email: info@nsjbio.com
Home >> Antibodies >> FOXL2 Antibody / Forkhead box protein L2

FOXL2 Antibody / Forkhead box protein L2 [clone FOXL2/8701R] (V5007)

  Catalog No Formulation Size Price (USD)  
Image V5007-100UG 0.2 mg/ml in 1X PBS with 0.1 mg/ml BSA (US sourced), 0.05% sodium azide 100 ug 539
Image
V5007-20UG 0.2 mg/ml in 1X PBS with 0.1 mg/ml BSA (US sourced), 0.05% sodium azide 20 ug 249
Image
V5007SAF-100UG 1 mg/ml in 1X PBS; BSA free, sodium azide free 100 ug 539
Microvalidated Recrabbitmono
Bulk quote request
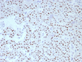
IHC staining of FFPE human parathyroid tissue with FOXL2 antibody (clone FOXL2/8701R). HIER: boil tissue sections in pH 9 10mM Tris with 1mM EDTA for 20 min and allow to cool before testing.
Availability 1-3 business days
Species Reactivity Human
Format Purified
Clonality Recombinant Rabbit Monoclonal
Isotype Rabbit IgG, kappa
Clone Name FOXL2/8701R
Purity Protein A/G affinity
UniProt P58012
Localization Nucleus
Applications Immunohistochemistry (FFPE) : 1-2ug/ml for 30 min at RT
Limitations This FOXL2 antibody is available for research use only.
Review this product on BioCompare and get a $20 Amazon gift card

Related Products

Description

FOXL2 is a critical factor essential for ovary differentiation and maintenance, and repression of the genetic program for somatic testis determination. It prevents trans-differentiation of ovary to testis through transcriptional repression of the sertoli cell-promoting gene SOX9. FOXL2 is mainly expressed in ovary, parathyroid gland and sex cord-stromal tumors. FOXL2 is generally used for diagnosis of sex cord-stromal tumors with Inhibin, Calretinin and SF-1.

Application Notes

Optimal dilution of the FOXL2 antibody should be determined by the researcher.

Immunogen

Recombinant full-length human FOXL2 protein was used as the immunogen for the FOXL2 antibody.

Storage

Aliquot the FOXL2 antibody and store frozen at -20oC or colder. Avoid repeated freeze-thaw cycles.

Cross
Bulk Quote Request Form
Name*:
Organization*:
Email*:
Phone Number*:
Catalog No.*:
Comments and Specifics(amount, formulation, etc.)*:
Validation code: Captchapackage Image


Can't read the image? click here to refresh.
    *required field

Your bulk quote request has been submitted successfully!

Please contact us if you have any questions.