• Tel: 858.663.9055
  • SeparatorEmail: info@nsjbio.com
  • Tel: 858.663.9055
  • Email: info@nsjbio.com
Home >> Antibodies >> Enolase 1 Antibody / Alpha Enolase / ENO1

Enolase 1 Antibody / Alpha Enolase / ENO1 (RQ5668)

  Catalog No Formulation Size Price (USD)  
Image RQ5668 0.5mg/ml if reconstituted with 0.2ml sterile DI water 100 ug 439
Bulk quote request
Immunofluorescent staining of FFPE human A431 cells with Enolase 1 antibody (green) and DAPI nuclear stain (blue). HIER: steam section in pH6 citrate buffer for 20 min.
IHC staining of FFPE human liver cancer with Enolase 1 antibody. HIER: boil tissue sections in pH8 EDTA for 20 min and allow to cool before testing.
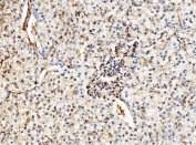
IHC staining of FFPE mouse testis with Enolase 1 antibody. HIER: boil tissue sections in pH8 EDTA for 20 min and allow to cool before testing.
IHC staining of FFPE rat testis with Enolase 1 antibody. HIER: boil tissue sections in pH8 EDTA for 20 min and allow to cool before testing.
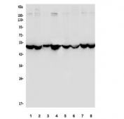
Western blot testing of human 1) HeLa, 2) HepG2, 3) SH-SY5Y, 4) U-87 MG, 5) HEK293, 6) Caco-2, 7) monkey kidney and 8) monkey liver lysate with Enolase 1 antibody. Predicted molecular weight ~47 kDa.
Western blot testing of rat 1) brain, 2) heart, 3) kidney, 4) liver, and mouse 5) brain, 6) kidney, 7) liver and 8) RAW264.7 lysate with Enolase 1 antibody. Predicted molecular weight ~47 kDa.
Flow cytometry testing of fixed and permeabilized human HL-60 cells with Enolase 1 antibody at 1ug/million cells (blocked with goat sera); Red=cells alone, Green=isotype control, Blue= Enolase 1 antibody.
Immunoprecipitation of Enolase 1 protein from 500ug of human A549 whole cell lysate with 2ug of Enolase 1 antibody.
Availability 1-3 business days
Species Reactivity Human, Mouse, Rat, Monkey
Format Antigen affinity purified
Clonality Polyclonal
Isotype Rabbit IgG
Purity Affinity purified
Buffer Lyophilized from 1X PBS with 2% Trehalose and 0.025% sodium azide
UniProt P06733
Applications Western Blot : 0.5-1ug/ml
Immunohistochemistry : 1-2ug/ml
Immunofluorescence : 2-4ug/ml
Flow Cytometry : 1-3ug/million cells
Immunoprecipitation : 2ug per 500ul of lysate
Limitations This Enolase 1 antibody is available for research use only.
Review this product on BioCompare and get a $20 Amazon gift card

Related Products

Description

Enolase 1 is a glycolytic enzyme that catalyzes the reversible interconversion of 2-phosphoglycerate and phosphoenolpyruvate, supporting ATP production and metabolic adaptability. In addition to its cytosolic role, Enolase 1 can be detected at the cell surface and in the nucleus, where it contributes to plasminogen binding and broader cell state regulation.

Enolase 1 abundance and localization respond to metabolic cues, hypoxia, and differentiation status, making it a versatile marker in studies of bioenergetics and cellular remodeling. Its participation in core energy pathways and context-dependent “moonlighting” functions supports research across cell biology and translational workflows.

The Enolase 1 antibody enables specific detection of endogenous ENO1 in applications such as western blot, immunohistochemistry, immunofluorescence, and ELISA. Researchers use the Enolase 1 antibody to quantify protein levels, track subcellular distribution, and evaluate responses to genetic or pharmacologic perturbation. With high specificity and consistent performance, the Enolase 1 antibody supports rigorous analysis of glycolysis, metabolic rewiring, and cell state transitions.

Application Notes

Optimal dilution of the Enolase 1 antibody should be determined by the researcher.

Immunogen

Amino acids DDPSRYISPDQLADLYKSFIKD from the human protein were used as the immunogen for the Enolase 1 antibody.

Storage

After reconstitution, the Enolase 1 antibody can be stored for up to one month at 4oC. For long-term, aliquot and store at -20oC. Avoid repeated freezing and thawing.

Cross
Bulk Quote Request Form
Name*:
Organization*:
Email*:
Phone Number*:
Catalog No.*:
Comments and Specifics(amount, formulation, etc.)*:
Validation code: Captchapackage Image


Can't read the image? click here to refresh.
    *required field

Your bulk quote request has been submitted successfully!

Please contact us if you have any questions.