• Tel: 858.663.9055
  • SeparatorEmail: info@nsjbio.com
  • Tel: 858.663.9055
  • Email: info@nsjbio.com
Home >> Antibodies >> Elastin Antibody

Elastin Antibody [clone ELN/2069] (V8464)

  Catalog No Formulation Size Price (USD)  
Image V8464-100UG 0.2 mg/ml in 1X PBS with 0.1 mg/ml BSA (US sourced) and 0.05% sodium azide 100 ug 539
Image
V8464-20UG 0.2 mg/ml in 1X PBS with 0.1 mg/ml BSA (US sourced) and 0.05% sodium azide 20 ug 249
Image
V8464SAF-100UG 1 mg/ml in 1X PBS; BSA free, sodium azide free 100 ug 539
Bulk quote request
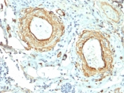
IHC staining of FFPE human angiosarcoma with Elastin antibody (clone ELN/2069). HIER: boil tissue sections in pH 9 10mM Tris with 1mM EDTA for 20 min and allow to cool before testing.
IHC staining of FFPE human small intestine with Elastin antibody (clone ELN/2069). HIER: boil tissue sections in pH 9 10mM Tris with 1mM EDTA for 20 min and allow to cool before testing.
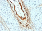
IHC staining of FFPE human pancreas with Elastin antibody (clone ELN/2069). HIER: boil tissue sections in pH 9 10mM Tris with 1mM EDTA for 20 min and allow to cool before testing.
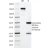
SDS-PAGE analysis of purified, BSA-free Elastin antibody (clone ELN/2069) as confirmation of integrity and purity.
Availability 1-3 business days
Species Reactivity Human
Format Purified
Clonality Monoclonal (mouse origin)
Isotype Mouse IgG1, kappa
Clone Name ELN/2069
Purity Protein G affinity chromatography
UniProt P15502
Localization Secreted
Applications ELISA : order Ab without BSA for coating
Immunohistochemistry (FFPE) : 1-2ug/ml for 30 min at RT
Limitations This Elastin antibody is available for research use only.
Review this product on BioCompare and get a $20 Amazon gift card

Related Products

Description

Elastin is a polymeric protein and is the main component of the extracellular matrix of arteries.It is synthesized and secreted as a soluble, single-chain protein (tropoelastin), which undergoes a number of post-translational modifications prior to its organization into an elastic fiber in the extracellular space. Elastin performs a regulatory function during arterial development by controlling proliferation of smooth muscle and stabilizing arterial structure. It imparts elasticityto the connective tissue. During aging, the elasticity of connective tissue is reduced because of the cross-linking of collagenous fibers with elastin. The abnormal accumulation of elastic tissue in blood vessels is found in atherosclerosis and hypertension.

Application Notes

Optimal dilution of the Elastin antibody should be determined by the researcher.

Immunogen

Recombinant full-length human Elastin protein was used as the immunogen for the Elastin antibody.

Storage

Store the Elastin antibody at 2-8oC (with azide) or aliquot and store at -20oC or colder (without azide).

Cross
Bulk Quote Request Form
Name*:
Organization*:
Email*:
Phone Number*:
Catalog No.*:
Comments and Specifics(amount, formulation, etc.)*:
Validation code: Captchapackage Image


Can't read the image? click here to refresh.
    *required field

Your bulk quote request has been submitted successfully!

Please contact us if you have any questions.