• Tel: 858.663.9055
  • SeparatorEmail: info@nsjbio.com
  • Tel: 858.663.9055
  • Email: info@nsjbio.com
Home >> Antibodies >> EIF4E Antibody

EIF4E Antibody [clone AFHI-5] (RQ5157)

  Catalog No Formulation Size Price (USD)  
Image RQ5157 Antibody in PBS with 0.02% sodium azide, 50% glycerol and 0.4-0.5mg/ml BSA 100 ul 439
Microvalidated Rab Mono Image
Bulk quote request
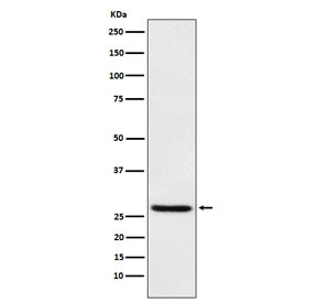
Western blot testing of human HEK293 cell lysate with EIF4E antibody. Predicted molecular weight ~27 kDa.
Availability 1-2 weeks
Species Reactivity Human
Format Purified
Clonality Rabbit Monoclonal
Isotype Rabbit IgG
Clone Name AFHI-5
Purity Affinity purified
UniProt P06730
Applications Western Blot : 1:100-1:5000
Limitations This EIF4E antibody is available for research use only.
Review this product on BioCompare and get a $20 Amazon gift card

Related Products

Description

eIF4E, a protein modulates translation of maternal mRNAs in early embryos before the onset of zygotic transcription. eIF4E also influences the overall rate of translation. eIF4E binds to the 7 methyl GTP cap structure of eukaryotic mRNAs. Phosphorylation of eIF4E on serine 209 regulates the affinity of this protein for the 7 methyl GTP cap and/or RNA. Phosphorylation also enhances the interaction of eIF4E with eIF4G, which form a complex known as eIF4F. eIF4E phosphorylation is correlated with increased translational rate in a number of cell types.

Application Notes

Optimal dilution of the EIF4E antibody should be determined by the researcher.

Immunogen

A synthetic peptide specific to human EIF4E was used as the immunogen for the EIF4E antibody.

Storage

Store the EIF4E antibody at -20oC.

Cross
Bulk Quote Request Form
Name*:
Organization*:
Email*:
Phone Number*:
Catalog No.*:
Comments and Specifics(amount, formulation, etc.)*:
Validation code: Captchapackage Image


Can't read the image? click here to refresh.
    *required field

Your bulk quote request has been submitted successfully!

Please contact us if you have any questions.