• Tel: 858.663.9055
  • SeparatorEmail: info@nsjbio.com
  • Tel: 858.663.9055
  • Email: info@nsjbio.com
Home >> Antibodies >> EIF4A1 Antibody

EIF4A1 Antibody [clone 11B8] (RQ6226)

  Catalog No Formulation Size Price (USD)  
Image RQ6226 0.5mg/ml if reconstituted with 0.2ml sterile DI water 100 ug 439
Bulk quote request
Immunofluorescent staining of FFPE human Caco-2 cells with EIF4A1 antibody (green) and DAPI nuclear stain (blue). HIER: steam section in pH6 citrate buffer for 20 min.
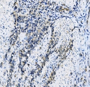
IHC staining of FFPE human breast cancer with EIF4A1 antibody. HIER: boil tissue sections in pH8 EDTA for 20 min and allow to cool before testing.
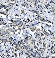
IHC staining of FFPE human gastric cancer with EIF4A1 antibody. HIER: boil tissue sections in pH8 EDTA for 20 min and allow to cool before testing.
Western blot testing of human 1) HeLa, 2) Jurkat, 3) MCF7, 4) HEK293, 5) HepG2, 6) K562, 7) rat PC-12, 8) mouse spleen, 9) mouse lung and 10) mouse RAW264.7 cell lysate with EIF4A1 antibody. Predicted molecular weight ~46 kDa.
Flow cytometry testing of human Caco-2 cells with EIF4A1 antibody at 1ug/million cells (blocked with goat sera); Red=cells alone, Green=isotype control, Blue= EIF4A1 antibody.
Flow cytometry testing of mouse HEPA1-6 cells with EIF4A1 antibody at 1ug/million cells (blocked with goat sera); Red=cells alone, Green=isotype control, Blue= EIF4A1 antibody.
Flow cytometry testing of rat RH35 cells with EIF4A1 antibody at 1ug/million cells (blocked with goat sera); Red=cells alone, Green=isotype control, Blue= EIF4A1 antibody.
Availability 1-3 business days
Species Reactivity Human, Mouse, Rat
Format Antigen affinity purified
Clonality Monoclonal (mouse origin)
Isotype Mouse IgG2b
Clone Name 11B8
Purity Affinity purified
Buffer Lyophilized from 1X PBS with 2% Trehalose
UniProt P60842
Localization Cytoplasmic
Applications Western Blot : 1-2ug/ml
Immunohistochemistry (FFPE) : 2-5ug/ml
Immunofluorescence : 5ug/ml
Flow Cytometry : 1-3ug/million cells
Limitations This EIF4A1 antibody is available for research use only.
Review this product on BioCompare and get a $20 Amazon gift card

Related Products

Description

Eukaryotic initiation factor 4A-I is a protein that in humans is encoded by the EIF4A1 gene. It is mapped to 17p13.1. EIF4A1 has been shown to interact with EIF4E and eukaryotic translation initiation factor 4 gamma.

Application Notes

Optimal dilution of the EIF4A1 antibody should be determined by the researcher.

Immunogen

Amino acids LQQIELDLKATQALVLA from the human protein were used as the immunogen for the EIF4A1 antibody.

Storage

After reconstitution, the EIF4A1 antibody can be stored for up to one month at 4oC. For long-term, aliquot and store at -20oC. Avoid repeated freezing and thawing.

Cross
Bulk Quote Request Form
Name*:
Organization*:
Email*:
Phone Number*:
Catalog No.*:
Comments and Specifics(amount, formulation, etc.)*:
Validation code: Captchapackage Image


Can't read the image? click here to refresh.
    *required field

Your bulk quote request has been submitted successfully!

Please contact us if you have any questions.