• Tel: 858.663.9055
  • SeparatorEmail: info@nsjbio.com
  • Tel: 858.663.9055
  • Email: info@nsjbio.com
Home >> Antibodies >> EIF3A Antibody / Eukaryotic translation initiation factor 3 subunit A

EIF3A Antibody / Eukaryotic translation initiation factor 3 subunit A (RQ7226)

  Catalog No Formulation Size Price (USD)  
Image RQ7226 0.5mg/ml if reconstituted with 0.2ml sterile DI water 100 ug 439
Bulk quote request
Immunofluorescent staining of FFPE human intestinal cancer tissue with EIF3A antibody (red) and DAPI nuclear stain (blue). HIER: steam section in pH8 EDTA buffer for 20 min.
IHC staining of FFPE human esophageal squamous carcinoma tissue with EIF3A antibody. HIER: boil tissue sections in pH8 EDTA for 20 min and allow to cool before testing.
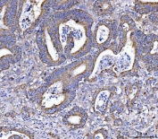
IHC staining of FFPE human colorectal adenocarcinoma tissue with EIF3A antibody. HIER: boil tissue sections in pH8 EDTA for 20 min and allow to cool before testing.
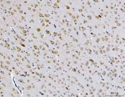
IHC staining of FFPE mouse brain tissue with EIF3A antibody. HIER: boil tissue sections in pH8 EDTA for 20 min and allow to cool before testing.
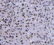
IHC staining of FFPE rat brain tissue with EIF3A antibody. HIER: boil tissue sections in pH8 EDTA for 20 min and allow to cool before testing.
Western blot testing of 1) human PC-3, 2) human 293T, 3) human MOLT4, 4) rat C6, 5) rat L6, 6) mouse RAW264.7 and 7) mouse ANA-1 cell lysate with EIF3A antibody. Predicted molecular weight ~166 kDa.
Flow cytometry testing of human U-87 MG cells with EIF3A antibody at 1ug/million cells (blocked with goat sera); Red=cells alone, Green=isotype control, Blue= EIF3A antibody.
Availability 1-3 business days
Species Reactivity Human, Mouse, Rat
Format Antigen affinity purified
Clonality Polyclonal (rabbit origin)
Isotype Rabbit IgG
Purity Antigen affinity purified
Buffer Lyophilized from 1X PBS with 2% Trehalose
UniProt Q14152
Localization Cytoplasmic
Applications Western Blot : 0.5-1ug/ml
Immunohistochemistry (FFPE) : 2-5ug/ml
Flow Cytometry : 1-3ug/million cells
Direct ELISA : 0.1-0.5ug/ml
Limitations This EIF3A antibody is available for research use only.
Review this product on BioCompare and get a $20 Amazon gift card

Related Products

Description

Eukaryotic translation initiation factor 3 subunit A (eIF3a) is a protein that in humans is encoded by the EIF3A gene. Enables RNA binding activity. Contributes to translation initiation factor activity. Involved in IRES-dependent viral translational initiation; formation of cytoplasmic translation initiation complex; and viral translational termination-reinitiation. Located in cytosol; nucleolus; and nucleoplasm. Part of eukaryotic translation initiation factor 3 complex.

Application Notes

Optimal dilution of the EIF3A antibody should be determined by the researcher.

Immunogen

Recombinant human protein (amino acids K13-H477) was used as the immunogen for the EIF3A antibody.

Storage

After reconstitution, the EIF3A antibody can be stored for up to one month at 4oC. For long-term, aliquot and store at -20oC. Avoid repeated freezing and thawing.

Cross
Bulk Quote Request Form
Name*:
Organization*:
Email*:
Phone Number*:
Catalog No.*:
Comments and Specifics(amount, formulation, etc.)*:
Validation code: Captchapackage Image


Can't read the image? click here to refresh.
    *required field

Your bulk quote request has been submitted successfully!

Please contact us if you have any questions.