• Tel: 858.663.9055
  • SeparatorEmail: info@nsjbio.com
  • Tel: 858.663.9055
  • Email: info@nsjbio.com
Home >> Antibodies >> DOCK1 Antibody

DOCK1 Antibody (RQ7519)

  Catalog No Formulation Size Price (USD)  
Image RQ7519 0.5mg/ml if reconstituted with 0.2ml sterile DI water 100 ug 439
Bulk quote request
Immunofluorescent staining of FFPE human esophageal squamous cell carcinoma tissue with DOCK1 antibody (red) and DAPI nuclear stain (blue). HIER: boil tissue sections in pH8 EDTA for 20 min and allow to cool before testing.
Immunofluorescent staining of FFPE human intestinal cancer tissue with DOCK1 antibody (red) and DAPI nuclear stain (blue). HIER: boil tissue sections in pH8 EDTA for 20 min and allow to cool before testing.
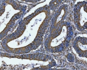
IHC staining of FFPE human colorectal adenocarcinoma tissue with DOCK1 antibody. HIER: boil tissue sections in pH8 EDTA for 20 min and allow to cool before testing.
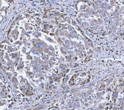
IHC staining of FFPE human lung adenocarcinoma tissue with DOCK1 antibody. HIER: boil tissue sections in pH8 EDTA for 20 min and allow to cool before testing.
Western blot testing of human 1) 293T and 2) MCF7 cell lysate with DOCK1 antibody. Predicted molecular weight: 215 kDa, routinely observed at 180~215 kDa.
Flow cytometry testing of human MCF7 cells with DOCK1 antibody at 1ug/million cells (blocked with goat sera); Red=cells alone, Green=isotype control, Blue= DOCK1 antibody.
Availability 1-3 business days
Species Reactivity Human
Format Antigen affinity purified
Clonality Polyclonal (rabbit origin)
Isotype Rabbit IgG
Purity Antigen affinity purified
Buffer Lyophilized from 1X PBS with 2% Trehalose
UniProt Q14185
Localization Cytoplasmic
Applications Western Blot : 0.5-1ug/ml
Immunohistochemistry (FFPE) : 2-5ug/ml
Flow Cytometry : 1-3ug/million cells
Immunofluorescence : 5ug/ml
Direct ELISA : 0.1-0.5ug/ml
Limitations This DOCK1 antibody is available for research use only.
Review this product on BioCompare and get a $20 Amazon gift card

Related Products

Description

Dock180, (Dedicator of cytokinesis) also known as DOCK1, is a large (~180 kDa) protein involved in intracellular signalling networks. This gene encodes a member of the dedicator of cytokinesis protein family. Dedicator of cytokinesis proteins act as guanine nucleotide exchange factors for small Rho family G proteins. The encoded protein regulates the small GTPase Rac, thereby influencing several biological processes, including phagocytosis and cell migration. Overexpression of this gene has also been associated with certain cancers. Alternative splicing results in multiple transcript variants.

Application Notes

Optimal dilution of the DOCK1 antibody should be determined by the researcher.

Immunogen

E. coli-derived recombinant human protein (amino acids S100-T1732) was used as the immunogen for the DOCK1 antibody.

Storage

After reconstitution, the DOCK1 antibody can be stored for up to one month at 4oC. For long-term, aliquot and store at -20oC. Avoid repeated freezing and thawing.

Cross
Bulk Quote Request Form
Name*:
Organization*:
Email*:
Phone Number*:
Catalog No.*:
Comments and Specifics(amount, formulation, etc.)*:
Validation code: Captchapackage Image


Can't read the image? click here to refresh.
    *required field

Your bulk quote request has been submitted successfully!

Please contact us if you have any questions.