• Tel: 858.663.9055
  • SeparatorEmail: info@nsjbio.com
  • Tel: 858.663.9055
  • Email: info@nsjbio.com
Home >> Antibodies >> CTSB Antibody / Cathepsin B

CTSB Antibody / Cathepsin B [clone AAFO-3] (RQ5186)

  Catalog No Formulation Size Price (USD)  
Image RQ5186 Antibody in PBS with 0.02% sodium azide, 50% glycerol and 0.4-0.5mg/ml BSA 100 ul 439
Microvalidated Rab Mono Image
Bulk quote request
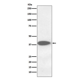
Western blot testing of human A375 cell lysate with CTSB antibody. Molecular weight: 38-46 kDa depending on glycosylation level. An ~31 kDa form (propeptide removed) may be observed and may be further processed into an ~25 kDa heavy chain and ~5 kDa light chain.
Availability 1-2 weeks
Species Reactivity Human
Format Purified
Clonality Rabbit Monoclonal
Isotype Rabbit IgG
Clone Name AAFO-3
Purity Affinity purified
UniProt P07858
Applications Western Blot : 1:500-1:2000
Limitations This CTSB antibody is available for research use only.
Review this product on BioCompare and get a $20 Amazon gift card

Related Products

Description

The CTSB gene encodes a member of the C1 family of peptidases. Alternative splicing of this gene results in multiple transcript variants. At least one of these variants encodes a preproprotein that is proteolytically processed to generate multiple protein products. These products include the cathepsin B light and heavy chains, which can dimerize to form the double chain form of the enzyme. This enzyme is a lysosomal cysteine protease with both endopeptidase and exopeptidase activity that may play a role in protein turnover. It is also known as amyloid precursor protein secretase and is involved in the proteolytic processing of amyloid precursor protein (APP). Incomplete proteolytic processing of APP has been suggested to be a causative factor in Alzheimer's disease, the most common cause of dementia. Overexpression of the encoded protein has been associated with esophageal adenocarcinoma and other tumors. [RefSeq]

Application Notes

Optimal dilution of the CTSB antibody should be determined by the researcher.

Immunogen

A synthetic peptide specific to human Cathepsin B / CTSB was used as the immunogen for the CTSB antibody.

Storage

Store the CTSB antibody at -20oC.

Cross
Bulk Quote Request Form
Name*:
Organization*:
Email*:
Phone Number*:
Catalog No.*:
Comments and Specifics(amount, formulation, etc.)*:
Validation code: Captchapackage Image


Can't read the image? click here to refresh.
    *required field

Your bulk quote request has been submitted successfully!

Please contact us if you have any questions.