• Tel: 858.663.9055
  • SeparatorEmail: info@nsjbio.com
  • Tel: 858.663.9055
  • Email: info@nsjbio.com
Home >> Antibodies >> Col6a2 Antibody / Collagen VI

Col6a2 Antibody / Collagen VI (RQ7684)

  Catalog No Formulation Size Price (USD)  
Image RQ7684 0.5mg/ml if reconstituted with 0.2ml sterile DI water 100 ug 439
Bulk quote request
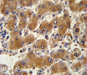
IHC staining of FFPE zebrafish tissue with Col6a2 antibody. HIER: boil tissue sections in pH8 EDTA for 20 min and allow to cool before testing.
Western blot testing of zebrafish lysate (lanes 1 & 2) with Col6a2 cell lysate. Predicted molecular weight ~140 kDa.
Availability 1-3 business days
Species Reactivity Zebrafish
Format Antigen affinity purified
Clonality Polyclonal (rabbit origin)
Isotype Rabbit IgG
Purity Antigen affinity purified
Buffer Lyophilized from 1X PBS with 2% Trehalose
UniProt E7FCV8
Applications Western Blot : 0.5-1ug/ml
Immunohistochemistry (FFPE) : 2-5ug/ml
Direct ELISA : 0.1-0.5ug/ml
Limitations This Col6a2 antibody is available for research use only.
Review this product on BioCompare and get a $20 Amazon gift card

Related Products

Description

Collagen alpha-2(VI) chain is a protein that in humans is encoded by the COL6A2 gene. Acts upstream of or within axonogenesis; muscle cell development; and muscle organ development. Predicted to be active in collagen-containing extracellular matrix and extracellular space. Is expressed in several structures, including anterior segment eye; gut; integument; musculature system; and yolk syncytial layer. Human ortholog(s) of this gene implicated in Ullrich congenital muscular dystrophy. Orthologous to human COL6A2 (collagen type VI alpha 2 chain).

Application Notes

Optimal dilution of the Col6a2 antibody should be determined by the researcher.

Immunogen

E. coli-derived recombinant zebrafish protein (amino acids D734-C1015) was used as the immunogen for the Col6a2 antibody.

Storage

After reconstitution, the Col6a2 antibody can be stored for up to one month at 4oC. For long-term, aliquot and store at -20oC. Avoid repeated freezing and thawing.

Cross
Bulk Quote Request Form
Name*:
Organization*:
Email*:
Phone Number*:
Catalog No.*:
Comments and Specifics(amount, formulation, etc.)*:
Validation code: Captchapackage Image


Can't read the image? click here to refresh.
    *required field

Your bulk quote request has been submitted successfully!

Please contact us if you have any questions.