• Tel: 858.663.9055
  • SeparatorEmail: info@nsjbio.com
  • Tel: 858.663.9055
  • Email: info@nsjbio.com
Home >> Antibodies >> Claudin 11 Antibody / CLDN11

Claudin 11 Antibody / CLDN11 [clone AEDI-3] (RQ4785)

  Catalog No Formulation Size Price (USD)  
Image RQ4785 Antibody in PBS with 0.02% sodium azide, 50% glycerol and 0.4-0.5mg/ml BSA 100 ul 439
Microvalidated Rab Mono Image
Bulk quote request
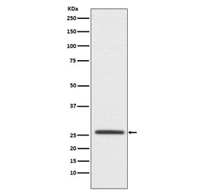
Western blot testing of human SH-SY5Y cell lysate with Claudin 11 antibody. Predicted molecular weight ~22 kDa.
Availability 1-2 weeks
Species Reactivity Human, Mouse, Rat
Format Purified
Clonality Rabbit Monoclonal
Isotype Rabbit IgG
Clone Name AEDI-3
Purity Affinity purified
UniProt O75508
Applications Western Blot : 1:500-1:2000
Limitations This Claudin 11 antibody is available for research use only.
Review this product on BioCompare and get a $20 Amazon gift card

Description

Claudin 11 plays a major role in tight junction-specific obliteration of the intercellular space, through calcium-independent cell-adhesion activity. [UniProt]

Application Notes

Optimal dilution of the Claudin 11 antibody should be determined by the researcher.

Immunogen

A synthetic peptide specific to human Claudin 11 / CLDN11 was used as the immunogen for the Claudin 11 antibody.

Storage

Store the Claudin 11 antibody at -20oC.

Cross
Bulk Quote Request Form
Name*:
Organization*:
Email*:
Phone Number*:
Catalog No.*:
Comments and Specifics(amount, formulation, etc.)*:
Validation code: Captchapackage Image


Can't read the image? click here to refresh.
    *required field

Your bulk quote request has been submitted successfully!

Please contact us if you have any questions.