• Tel: 858.663.9055
  • SeparatorEmail: info@nsjbio.com
  • Tel: 858.663.9055
  • Email: info@nsjbio.com
Home >> Antibodies >> Clatherin Light Chain Antibody (LCA/LCB)

Clatherin Light Chain Antibody (LCA/LCB) (R33209)

  Catalog No Formulation Size Price (USD)  
Image R33209-100UG 0.5 mg/ml in 1X TBS, pH7.3, with 0.5% BSA (US sourced) and 0.02% sodium azide 100 ug 449
Bulk quote request
Western blot testing of human frontal cortex lysate with Clatherin Light Chain antibody at 0.1ug/ml. The expected molecular weight is 17~27 kDa. A ~35kDa band has also been reported (PMID: 10942733).
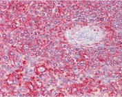
IHC testing of FFPE human spleen tissue with Clatherin Light Chain antibody at 2.5ug/ml. Required HIER: steamed antigen retrieval with pH6 citrate buffer; AP-staining.
Availability 1-3 business days
Species Reactivity Human
Predicted Reactivity Mouse, Rat, Dog, Cow
Format Antigen affinity purified
Clonality Polyclonal (goat origin)
Isotype Goat Ig
Purity Antigen affinity
Gene ID 1211 , 1212
Localization Cytoplasmic
Applications Western Blot : 0.1-0.3ug/ml
IHC (FFPE) : 2.5ug/ml
ELISA (peptide) LOD : 1:32000
Limitations This Clatherin Light Chain antibody is available for research use only.
Review this product on BioCompare and get a $20 Amazon gift card

Related Products

Description

Additional name(s) for this target protein: Clathrin light chain; CLTA, CLTB; LCA; LCB

Application Notes

Optimal dilution of the Clatherin Light Chain antibody should be determined by the researcher.

1. This Ab will detected all reported isoforms of Clathrin light chains A and B.

Immunogen

Amino acids CDFNPKSSKQAKD were used as the immunogen for this Clatherin Light Chain antibody. This sequence is shared by LCA and LCB. (1)

Storage

Aliquot and store the Clatherin Light Chain antibody at -20oC.

Cross
Bulk Quote Request Form
Name*:
Organization*:
Email*:
Phone Number*:
Catalog No.*:
Comments and Specifics(amount, formulation, etc.)*:
Validation code: Captchapackage Image


Can't read the image? click here to refresh.
    *required field

Your bulk quote request has been submitted successfully!

Please contact us if you have any questions.