• Tel: 858.663.9055
  • SeparatorEmail: info@nsjbio.com
  • Tel: 858.663.9055
  • Email: info@nsjbio.com
Home >> Antibodies >> CDC42 Antibody

CDC42 Antibody (RQ5236)

  Catalog No Formulation Size Price (USD)  
Image RQ5236 0.5mg/ml if reconstituted with 0.2ml sterile DI water 100 ug 439
Bulk quote request
Western blot testing of human 1) placenta, 2) U937, 3) HL60, 4) U-2 OS, 5) U-87 MG, 6) K562, 7) HeLa, 8) rat thymus, 9) rat lung, 10) mouse lung, 11) mouse intestine and 12) mouse SP2/0 lysate with CDC42 antibody. Predicted molecular weight ~21 kDa.
Western blot testing of human 1) U-87 MG, 2) K562 and 3) HeLa cell lysate with CDC42 antibody. Predicted molecular weight ~21 kDa.
Western blot testing of 1) rat thymus, 2) rat lung and 3) mouse SP20 lysate with CDC42 antibody. Predicted molecular weight ~21 kDa.
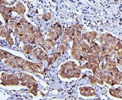
IHC staining of FFPE human breast cancer with CDC42 antibody. HIER: boil tissue sections in pH8 EDTA for 20 min and allow to cool before testing.
IHC staining of FFPE human breast cancer with CDC42 antibody. HIER: boil tissue sections in pH6, 10mM citrate buffer, for 20 min and allow to cool before testing.
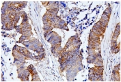
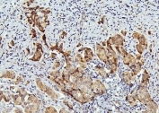
IHC staining of FFPE human colon cancer with CDC42 antibody. HIER: boil tissue sections in pH8 EDTA for 20 min and allow to cool before testing.
IHC staining of FFPE human colon cancer with CDC42 antibody. HIER: boil tissue sections in pH6, 10mM citrate buffer, for 20 min and allow to cool before testing.
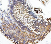
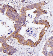
IHC staining of FFPE mouse intestine with CDC42 antibody. HIER: boil tissue sections in pH8 EDTA for 20 min and allow to cool before testing.
IHC staining of FFPE rat intestine with CDC42 antibody. HIER: boil tissue sections in pH8 EDTA for 20 min and allow to cool before testing.
Flow cytometry testing of human SiHa cells with CDC42 antibody at 1ug/million cells (blocked with goat sera); Red=cells alone, Green=isotype control, Blue= CDC42 antibody.
Flow cytometry testing of human U-2 OS cells with CDC42 antibody at 1ug/million cells (blocked with goat sera); Red=cells alone, Green=isotype control, Blue= CDC42 antibody.
Availability 1-3 business days
Species Reactivity Human, Mouse, Rat
Format Antigen affinity purified
Clonality Polyclonal (rabbit origin)
Isotype Rabbit IgG
Purity Affinity purified
Buffer Lyophilized from 1X PBS with 2% Trehalose and 0.025% sodium azide
UniProt P60953
Applications Western Blot : 0.5-1ug/ml
Immunohistochemistry (FFPE) : 1-2ug/ml
Flow Cytometry : 1-3ug/million cells
Direct ELISA : 0.1-0.5ug/ml
Limitations This CDC42 antibody is available for research use only.
Review this product on BioCompare and get a $20 Amazon gift card

Related Products

  • Applications : WB, IHC-P
    Reactivity : Human, Bovin, Mouse, Rat
  • Applications : WB, IF, FACS, Direct ELISA
    Reactivity : Human, Mouse, Rat

Description

Cell division control protein 42 homolog also known as CDC42 is a protein involved in regulation of the cell cycle. In humans, CDC42 is encoded by the CDC42 gene. CDC42 is a small GTPase of the Rho-subfamily, which regulates signaling pathways that control diverse cellular functions including cell morphology, migration, endocytosis and cell cycle progression. This protein is highly similar to Saccharomyces cerevisiae Cdc 42, and is able to complement the yeast cdc42-1 mutant. The product of oncogene Dbl was reported to specifically catalyze the dissociation of GDP from this protein. This protein could regulate actin polymerization through its direct binding to Neural Wiskott-Aldrich syndrome protein (N-WASP), which subsequently activates Arp2/3 complex. Alternative splicing of this gene results in multiple transcript variants.

Application Notes

Optimal dilution of the CDC42 antibody should be determined by the researcher.

Immunogen

Amino acids K16-C188 from the human protein were used as the immunogen for the CDC42 antibody.

Storage

Store the CDC42 antibody at -20oC.

Cross
Bulk Quote Request Form
Name*:
Organization*:
Email*:
Phone Number*:
Catalog No.*:
Comments and Specifics(amount, formulation, etc.)*:
Validation code: Captchapackage Image


Can't read the image? click here to refresh.
    *required field

Your bulk quote request has been submitted successfully!

Please contact us if you have any questions.