• Tel: 858.663.9055
  • SeparatorEmail: info@nsjbio.com
  • Tel: 858.663.9055
  • Email: info@nsjbio.com
Home >> Antibodies >> CD73 Antibody

CD73 Antibody [clone 974CT7.5.3] (F54319)

  Catalog No Formulation Size Price (USD)  
Image F54319-0.1ML In 1X PBS, pH 7.4, with 0.09% sodium azide 0.1 ml 429
Bulk quote request
Western blot testing of human WiDr cell lysate with CD73 antibody. Predicted molecular weight: 65-70 kDa.
Western blot testing of human MDA-MB-231 cell lysate with CD73 antibody. Predicted molecular weight: 65-70 kDa.
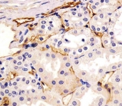
IHC testing of FFPE human kidney tissue with CD73 antibody. HIER: steam section in pH6 citrate buffer for 20 min and allow to cool prior to staining.
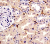
IHC testing of FFPE human kidney tissue with CD73 antibody. HIER: steam section in pH6 citrate buffer for 20 min and allow to cool prior to staining.
Availability 1-3 business days
Species Reactivity Human
Format Purified
Clonality Monoclonal (mouse origin)
Isotype Mouse IgG1
Clone Name 974CT7.5.3
Purity Protein G affinity
UniProt P21589
Localization Cell surface, cytoplasmic
Applications Western Blot : 1:500-1:2000
Immunohistochemistry (FFPE) : 1:25
Limitations This CD73 antibody is available for research use only.
Review this product on BioCompare and get a $20 Amazon gift card

Related Products

Description

Hydrolyzes extracellular nucleotides into membrane permeable nucleosides.

Application Notes

The stated application concentrations are suggested starting points. Titration of the CD73 antibody may be required due to differences in protocols and secondary/substrate sensitivity.

Immunogen

Recombinant human protein was used as the immunogen for the CD73 antibody.

Storage

Aliquot the CD73 antibody and store frozen at -20oC or colder. Avoid repeated freeze-thaw cycles.

Cross
Bulk Quote Request Form
Name*:
Organization*:
Email*:
Phone Number*:
Catalog No.*:
Comments and Specifics(amount, formulation, etc.)*:
Validation code: Captchapackage Image


Can't read the image? click here to refresh.
    *required field

Your bulk quote request has been submitted successfully!

Please contact us if you have any questions.