• Tel: 858.663.9055
  • SeparatorEmail: info@nsjbio.com
  • Tel: 858.663.9055
  • Email: info@nsjbio.com
Home >> Antibodies >> BAG6 Antibody / BAT3

BAG6 Antibody / BAT3 (RQ4907)

  Catalog No Formulation Size Price (USD)  
Image RQ4907 0.5mg/ml if reconstituted with 0.2ml sterile DI water 100 ug 439
Bulk quote request
Western blot testing of 1) human HeLa, 2) human ThP-1, 3) human U-87 MG, 4) rat brain, 5) rat heart, 6) rat lung, 7) rat liver, 8) mouse brain, 9) mouse heart and 10) mouse lung lysate with BAG6 antibody at 0.5ug/ml. Predicted molecular weight ~119 kDa but observed at 150-170 kDa.
Western blot testing of 1) human HeLa, 2) human U-87 MG, 3) human SH-SY5Y, 4) rat brain, 5) rat C6, 6) mouse brain and 7) mouse Neuro-2a cell lysate with BAG6 antibody. Predicted molecular weight ~119 kDa but observed at 150-170 kDa.
Immunofluorescent staining of FFPE human PC3 cells with BAG6 antibody (green) and anti Beta Tubulin mAb (red). HIER: steam section in pH6 citrate buffer for 20 min.
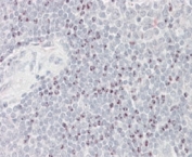
IHC staining of FFPE human lung cancer tissue with BAG6 antibody. HIER: boil tissue sections in pH8 EDTA for 20 min and allow to cool before testing.
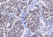
IHC staining of FFPE human ovarian serous adenocarcinoma tissue with BAG6 antibody. HIER: boil tissue sections in pH8 EDTA for 20 min and allow to cool before testing.
Flow cytometry testing of fixed and permeabilized human SH-SY5Y cells with BAG6 antibody at 1ug/10^6 cells (blocked with goat sera); Red=cells alone, Green=isotype control, Blue= BAG6 antibody.
Availability 1-3 business days
Species Reactivity Human, Mouse, Rat
Format Antigen affinity purified
Clonality Polyclonal (rabbit origin)
Isotype Rabbit IgG
Purity Antigen affinity purified
Buffer Lyophilized from 1X PBS with 2% Trehalose and 0.025% sodium azide
UniProt P46379
Localization Cytoplasmic, nuclear
Applications Western Blot : 0.5-1ug/ml
Immunohistochemistry (FFPE) : 2-5ug/ml
Immunofluorescence : 5ug/ml
Flow Cytometry : 1-3ug/10^6 cells
Direct ELISA : 0.1-0.5ug/ml
Limitations This BAG6 Antibody is available for research use only.
Review this product on BioCompare and get a $20 Amazon gift card

Related Products

  • Applications : IHC, ELISA (peptide)
    Reactivity : Human
    Pred. Reactivity : Cow, Dog, Mouse, Pig, Rat

Description

Large proline-rich protein BAG6 is a protein that in humans is encoded by the BAG6 gene. It is mapped to 6p21.33. This gene was first characterized as part of a cluster of genes located within the human major histocompatibility complex class III region. This gene encodes a nuclear protein that is cleaved by caspase 3 and is implicated in the control of apoptosis. In addition, the protein forms a complex with E1A binding protein p300 and is required for the acetylation of p53 in response to DNA damage. Multiple transcript variants encoding different isoforms have been found for this gene.

Application Notes

Optimal dilution of the BAG6 Antibody should be determined by the researcher.

Immunogen

Amino acids D15-A88 from the human protein were used as the immunogen for the BAG6 Antibody.

Storage

After reconstitution, the BAG6 Antibody can be stored for up to one month at 4oC. For long-term, aliquot and store at -20oC. Avoid repeated freezing and thawing.

Cross
Bulk Quote Request Form
Name*:
Organization*:
Email*:
Phone Number*:
Catalog No.*:
Comments and Specifics(amount, formulation, etc.)*:
Validation code: Captchapackage Image


Can't read the image? click here to refresh.
    *required field

Your bulk quote request has been submitted successfully!

Please contact us if you have any questions.