• Tel: 858.663.9055
  • SeparatorEmail: info@nsjbio.com
  • Tel: 858.663.9055
  • Email: info@nsjbio.com
Home >> Antibodies >> ARL1 Antibody / ADP-ribosylation factor-like protein 1

ARL1 Antibody / ADP-ribosylation factor-like protein 1 (RQ7339)

  Catalog No Formulation Size Price (USD)  
Image RQ7339 0.5mg/ml if reconstituted with 0.2ml sterile DI water 100 ug 439
Bulk quote request
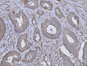
IHC staining of FFPE human cervical cancer tissue with ARL1 antibody. HIER: boil tissue sections in pH8 EDTA for 20 min and allow to cool before testing.
IHC staining of FFPE human colorectal adenocarcinoma tissue with ARL1 antibody. HIER: boil tissue sections in pH8 EDTA for 20 min and allow to cool before testing.
Western blot testing of human 1) K562, 2) HeLa, 3) HepG2, 4) RT4 cell lysate with ARL1 antibody. Predicted molecular weight ~20 kDa.
Flow cytometry testing of human RT4 cells with ARL1 antibody at 1ug/million cells (blocked with goat sera); Red=cells alone, Green=isotype control, Blue= ARL1 antibody.
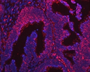
Immunofluorescent staining of FFPE human colon cancer tissue with ARL1 antibody (red) and DAPI nuclear stain (blue). HIER: steam section in pH6 citrate buffer for 20 min.
Availability 1-3 business days
Species Reactivity Human
Format Antigen affinity purified
Clonality Polyclonal (rabbit origin)
Isotype Rabbit IgG
Purity Antigen affinity purified
Buffer Lyophilized from 1X PBS with 2% Trehalose
UniProt P40616
Localization Cytoplasmic (Golgi)
Applications Western Blot : 0.5-1ug/ml
Immunohistochemistry (FFPE) : 2-5ug/ml
Flow Cytometry : 1-3ug/million cells
Immunofluorescence : 5ug/ml
Limitations This ARL1 antibody is available for research use only.
Review this product on BioCompare and get a $20 Amazon gift card

Description

ADP-ribosylation factor-like protein 1 is a protein that in humans is encoded by the ARL1 gene. The protein encoded by this gene belongs to the ARL (ADP-ribosylation factor-like) family of proteins, which are structurally related to ADP-ribosylation factors (ARFs). ARFs, described as activators of cholera toxin (CT) ADP-ribosyltransferase activity, regulate intracellular vesicular membrane trafficking, and stimulate a phospholipase D (PLD) isoform. Although, ARL proteins were initially thought not to activate CT or PLD, later work showed that they are weak stimulators of PLD and CT in a phospholipid dependent manner. Alternative splicing results in multiple transcript variants encoding different isoforms.

Application Notes

Optimal dilution of the ARL1 antibody should be determined by the researcher.

Immunogen

Amino acids LDEAMEWLVETLKSRQ were used as the immunogen for the ARL1 antibody.

Storage

After reconstitution, the ARL1 antibody can be stored for up to one month at 4oC. For long-term, aliquot and store at -20oC. Avoid repeated freezing and thawing.

Cross
Bulk Quote Request Form
Name*:
Organization*:
Email*:
Phone Number*:
Catalog No.*:
Comments and Specifics(amount, formulation, etc.)*:
Validation code: Captchapackage Image


Can't read the image? click here to refresh.
    *required field

Your bulk quote request has been submitted successfully!

Please contact us if you have any questions.