• Tel: 858.663.9055
  • SeparatorEmail: info@nsjbio.com
  • Tel: 858.663.9055
  • Email: info@nsjbio.com
Home >> Antibodies >> ARHGAP26 Antibody / GRAF

ARHGAP26 Antibody / GRAF (RQ7144)

  Catalog No Formulation Size Price (USD)  
Image RQ7144 0.5mg/ml if reconstituted with 0.2ml sterile DI water 100 ug 439
Bulk quote request
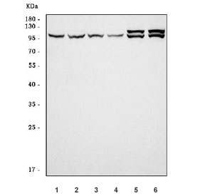
Western blot testing of 1) human HeLa, 2) human MCF7, 3) human RT4, 4) human U-251, 5) rat brain and 6) mouse brain tissue lysate with ARHGAP26 antibody. Predicted molecular weight ~92 kDa (isoform 1) and ~86 kDa (isoform 2).
Availability 1-3 business days
Species Reactivity Human, Mouse, Rat
Format Antigen affinity purified
Clonality Polyclonal (rabbit origin)
Isotype Rabbit IgG
Purity Antigen affinity purified
Buffer Lyophilized from 1X PBS with 2% Trehalose
UniProt Q9UNA1
Applications Western Blot : 0.5-1ug/ml
Direct ELISA : 0.1-0.5ug/ml
Limitations This ARHGAP26 antibody is available for research use only.
Review this product on BioCompare and get a $20 Amazon gift card

Related Products

  • Applications : WB, IHC-P, ELISA (peptide)
    Reactivity : Human
    Pred. Reactivity : Cow, Dog, Mouse, Rat

Description

Rho GTPase activating protein 26 (ARHGAP26) also known as GTPase Regulator Associated with Focal Adhesion Kinase (GRAF) is a protein that in humans is encoded by the ARHGAP26 gene. Interaction of a cell with the extracellular matrix triggers integrin cell surface receptors to begin signaling cascades that regulate the organization of the actin-cytoskeleton. One of the proteins involved in these cascades is focal adhesion kinase. The protein encoded by this gene is a GTPase activating protein that binds to focal adhesion kinase and mediates the activity of the GTP binding proteins RhoA and Cdc42. Defects in this gene are a cause of juvenile myelomonocytic leukemia (JMML). Multiple transcript variants encoding different isoforms have been found for this gene.

Application Notes

Optimal dilution of the ARHGAP26 antibody should be determined by the researcher.

Immunogen

Recombinant human protein (amino acids S584-E791) was used as the immunogen for the ARHGAP26 antibody.

Storage

After reconstitution, the ARHGAP26 antibody can be stored for up to one month at 4oC. For long-term, aliquot and store at -20oC. Avoid repeated freezing and thawing.

Cross
Bulk Quote Request Form
Name*:
Organization*:
Email*:
Phone Number*:
Catalog No.*:
Comments and Specifics(amount, formulation, etc.)*:
Validation code: Captchapackage Image


Can't read the image? click here to refresh.
    *required field

Your bulk quote request has been submitted successfully!

Please contact us if you have any questions.