• Tel: 858.663.9055
  • SeparatorEmail: info@nsjbio.com
  • Tel: 858.663.9055
  • Email: info@nsjbio.com
Home >> Antibodies >> APOB Antibody

APOB Antibody (R36144)

  Catalog No Formulation Size Price (USD)  
Image R36144-100UG 0.5 mg/ml in 1X TBS, pH7.3, with 0.5% BSA (US sourced) and 0.02% sodium azide 100 ug 449
Bulk quote request
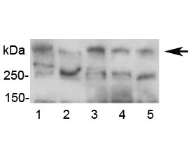
Western blot testing of human serum lysate (five donors) with APOB antibody at 0.5ug/ml
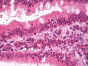
IHC testing of FFPE human small intestine tissue with APOB antibody at 2ug/ml. Required HIER: steamed antigen retrieval with pH6 citrate buffer; AP-staining.
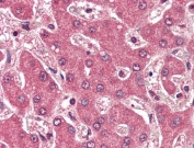
IHC testing of FFPE human liver tissue with APOB antibody at 2ug/ml. Required HIER: steamed antigen retrieval with pH6 citrate buffer; AP-staining.
Availability 1-3 business days
Species Reactivity Human
Format Antigen affinity purified
Clonality Polyclonal (goat origin)
Isotype Goat Ig
Purity Antigen affinity
Gene ID 338
Localization Cytoplasmic, membranous
Applications Western Blot : 0.5-2 ug/ml
IHC (FFPE) : 2ug/ml
ELISA (peptide) LOD : 1:32000
Limitations This APOB antibody is available for research use only.
Review this product on BioCompare and get a $20 Amazon gift card

Related Products

Description

Additional name(s) for this target protein: Apolipoprotein B

Application Notes

Optimal dilution of the APOB antibody should be determined by the researcher.

Immunogen

Amino acids TDLHLRYQKDKK were used as the immunogen for this APOB antibody.

Storage

Aliquot and store the APOB antibody at -20oC.

Cross
Bulk Quote Request Form
Name*:
Organization*:
Email*:
Phone Number*:
Catalog No.*:
Comments and Specifics(amount, formulation, etc.)*:
Validation code: Captchapackage Image


Can't read the image? click here to refresh.
    *required field

Your bulk quote request has been submitted successfully!

Please contact us if you have any questions.